カテゴリー
以下クリックで各カテゴリーの症例がご覧いただけます。
半年間 膿が止まらない原因はパーフォレーションだった!
天王寺から歩いて徒歩1分マイクロスコープを用いて診療を行っている大阪市阿倍野区の歯医者「松川デンタルオフィス」歯科衛生士の岡です😊
今回は根の中に「パーフォレーション」が起きていた症例をご紹介します!
✅パーフォレーションとは?
根の先と別方向に削ってしまい、あけられた穴のことです。
CTを撮影したりして根の方向を理解し、イメージして慎重に根管を削らないとパーフォレーションしてしまいます。


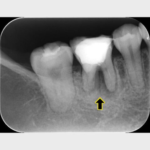
20代女性の方で、右下の奥歯のご相談で来院されました。
6年前に根管治療を行なった時も予後が悪く外科処置も行ったそうですが
半年前から膿が止まらない状態だそうです💦

レントゲンで根の股の部分に歯質がなく、パーフォレーションがおきています。
それが原因で根尖病変ができ、骨が溶けてしまっているのでレントゲンで黒く映ります。
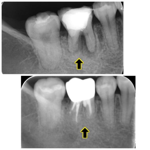
当院ではパーフォレーションがおきてしまった部分に「MTAセメント」をいれてリペアする治療も行っています✨

あともう一つ起きているトラブルは
仮蓋のセメントが歯肉の下まで入っています…
🟰フェルールがない
(残っている歯が歯肉の下までしかない)
ということです。
歯冠長延長術を行い、余分な歯肉をカットし歯を出してあげる処置も必要でした。
✅治療計画
根管治療→パーフォレーションリペア→土台をたてる→歯冠長延長術→仮歯で経過観察
では、マイクロスコープで治療中の様子をご覧ください!
いかがでしたか?
MTAセメントは、強アルカリで殺菌作用が高く持続性もあるというとても良い薬ですが
操作性が悪くしっかり封鎖する為には少しずつ充填しないといけません💦
この後は土台を立て、歯冠長延長術を行いました!
仮歯で経過観察を行っていましたが…
しばらく来院がなく仮歯が外れたとのことで来院された時には2回目の歯冠長延長術が必要となってしまいました😭
⚠️治療中に来院が止まってしまうとトラブルが起きて同じ治療が必要になることも…
せっかく治療した歯を放置していると最悪の場合、根が折れて抜歯になるケースもあるので必ず定期検診は来てくださいね✨

再度、歯肉が落ち着くまで経過観察して
前後の歯の治療も一緒に行い最終的な被せへ✨


パーフォレーションが原因で根の分岐部に根尖病変がありましたがそれも回復しています✨
いかがでしたか?
パーフォレーションや、フェルールがないなどのトラブルがあり重症度が高い歯でしたが
今は問題なく食事もでき、違和感や痛みもありません😊
同じようなお悩みがあり歯科医院を探している方は
是非当院にご相談ください!
この治療の担当者

松川 裕樹Dr.Hiroki Matsukawa
日本有数の日本顕微鏡歯科学会の認定医です。精密な治療を行うために全チェアーにマイクロスコープを導入しているだけでなく、日々歯科医療に関して研鑽を積んでおります。 実際にマイクロスコープを使用して精密な治療を行える歯科医師はまだ少ないのが現状ですが、当院では専門的な知識、経験、技術を持った医師が治療を担当致します。
症例データ
| 年代/性別 | 20代女性 |
|---|---|
| 症状 | 膿が止まらない |
| 治療方法 | 感染根管処置 パーフォレーションリペア 歯冠長延長術 |
| 費用 | 診断料 ¥16,500- 感染根管処置(大臼歯)¥154,000- リトリートメント ¥44,000- パーフォレーションリペア ¥66,000- ファイバーコア ¥38,500- 歯冠長延長術 ¥55,000- オールセラミックス ¥187,000- |
| 備考 | メリット:将来的に歯を保存出来る デメリット:歯科医師に高い技術が求められる |


