









松川デンタルオフィスでの矯正は全ての治療をドクターが行います。
当たり前の事と、思われがちですが日本の歯科臨床の現場ではドクターの診断後は衛生士や歯科助手が治療している医院も多々あるようです。
矯正治療とは予定通りに進行しないことも多く、その都度ドクターが細かい調整を行う事がとても大切です。その為には当然診断をつけたドクターが終始治療を見続ける必要があります。松川デンタルオフィスではこれを実行する為に一日の矯正治療の患者数を制限しております。
矯正治療について当院と他院の違い、治療内容について詳しく掲載しております。
重要:
精密検査を実施し、それを分析・診断した上で治療をしている
矯正歯科治療を行うためには、臨床検査として ①口腔内検査 ②顎機能と咬合機能の検査 ③顎のプロポーション検査 ④筋機能の検査、また、診断資料の分析として①模型分析 ②頭部X線規格写真の分析 などを実施した上で診断を行うことが不可欠です。
公益社団法人日本臨床矯正歯科医会:
「矯正歯科診療所が備えるべき6つのポイント」
より引用
上記は、公益社団法人日本臨床矯正歯科医会が定める、患者様が信頼できる矯正歯科を見極めるための「受診時の目安」の一つです。
このように公の学会も提言しているほど、矯正治療にとって事前の診査診断と、それを元にした綿密な治療計画は非常に重要と言えます。
万が一、虫歯や歯周病を見落として治療を開始してしまうと、装置を外し治療を中断しなければいけません。そういった、後々起こるリスクを排除し万全の状態で矯正治療をスタートすることでより矯正治療の効果を高めることができます。
このように、歯並びを整えることだけでなく、矯正治療中のトラブルも未然に防ぎかつ診査診断を徹底しているかどうかも矯正歯科クリニック選びの一つにすることをおすすめします。
歯科には、虫歯や歯周病の治療を行う「一般歯科」以外にも、たくさんの診療科が存在しています。例えば、口腔周囲の外傷や腫瘍をしっかりと診断、治療できるのは「口腔外科」に限られます。それと同じように、歯並びの矯正となると「矯正歯科」を受診することが最良の選択であるように思われがちですが、実際はそうとも限りません。なぜなら、矯正の専門医は「歯を動かすこと」に関してのみ、プロフェッショナルであることが多いからです。もちろん、歯列矯正において、これほど重要な技術は他にありませんが、矯正期間中にはいろいろなトラブルが起こり得ることを忘れてはいけません。
歯列矯正では、ブラケットやワイヤーからなる複雑な形状の矯正装置を歯の表面に装着します。その結果、歯の清掃性が著しく低下するため、矯正期間中に虫歯や歯周病を発症してしまう人は珍しくないのです。
そんな時、わずかな虫歯の兆候や見落としやすい歯周病の初期症状などをしっかりと発見できるのは、一般歯科で研鑽を積んでいる歯科医師です。
歯科業界では、総合診療医(GP)とも呼ばれております。
こうした熟練を要する一般診療は、歯を動かすことに特化している矯正医では、なかなか難しいのが現実です。
そこで重要となるのが、当院のように一般歯科の経験が豊富な歯科医師と矯正のプロフェッショナルである歯科医師がチームを組んで診療にあたれる環境です。
当院では、総合診療のプロフェッショナルである理事長と、1名の矯正医がチームを組んで矯正治療にあたっております。
それぞれの立場から意見を出し合い、患者様にとって何が最良の治療となるのかを検討いたします。
その上で最適といえる治療計画を立案し、患者様にご提案しております。
もちろん、患者様のお口の状態によっては矯正以外の治療の選択肢をご提示することもあります。
また、矯正期間中に虫歯や歯周病などのトラブルが生じた際には、総合診療医が迅速に対応できる環境も整っております。
これは、矯正専門歯科では実現することのできない、理想的な診療環境といえます。
経歴
◆ 1995年 大阪明星高校卒業
◆ 2001年 大阪歯科大学卒業
◆ 2013年 松川デンタルオフィス開院
◆ 2013年 PhaT Orortho Study group修了
◆ 2015年 医療法人明星会 松川デンタルオフィス設立
私は大学卒業後、保険診療を中心とする歯科医院で3年、自由診療を専門とする歯科医院で4年、さらに大手医療法人の梅田医院で審美部門長として6年の臨床経験を積んできております。その間、数えきれないほどの患者さまの治療に携わることができ、どんな症例にも対応できる自信を持てるようになりました。もちろん、矯正治療自体は専門医に任せますが、治療が安心・安全に進んでいくよう、全力でサポートさせていただきます。
当院には、矯正医だけではなく、理事長のような総合診療のプロフェッショナルも在籍しているため、矯正専門歯科では実現できない、総合的な歯科診療を受けることが可能です。我々矯正医は、歯を動かすことに徹することとなりますが、虫歯や歯周病など、何か問題が生じた際にすぐ相談することができるGPが在籍しているのは、非常に心強いです。当然、患者さまにとってもこれほど大きなメリットはないかと思いますので、矯正治療をご検討中の方は、ぜひお気軽に当院までご相談ください。
矯正治療というと歯並びのことばかりに気をとられてしまいますが、同時にむし歯や歯周病などの口腔内の健康も考えなくてはいけません。
医療法人明星会松川デンタルオフィスは、一般歯科治療も行っており、矯正医と連携をとりながら口腔内全体の健康を考えた矯正治療を行っています。
また、院長自信も矯正を対応できるので、矯正日以外でも365日トラブルに対応可です。
歯科治療は数年かかるケースも多く、何度もご来院いただくことになりますので、アクセス面は気になるものです。
当院は天王寺駅から徒歩1分とアクセス良好なので、通っていただきやすい環境です。あべのハルカス隣の岸本ビルなので、便利な立地と好評です。
iTero(アイテロ)はお口の中を3Dでスキャンすることで、精密な歯型が取れます。また、スキャンした画像をその場で確認することができるため、患者さまと治療シミュレーションを行いながら、治療後の歯並びを事前にご確認いただけるようになりました。
正面から笑顔を見たとき、口の両側に黒く影のできる空間があります。これはバッカルコリドーと呼ばれ、歯列の幅が狭い方に多く出現します。矯正治療に関する国際的な学術論文などによると、この影の部分が少ないほうが人は美しいと感じることが統計的に明らかになっています。
当院ではより美しい笑顔の獲得に繋がるよう、このバッカルコリドーの空間にもこだわった矯正を提案いたします。
口ゴボとはいわゆる「出っ歯」で日本人などのアジア人によくある不正咬合です。上の前歯が他の歯に比べて極端に前に突き出ている、外から見て、口元が盛り上がっている状態のことを指します。
矯正によりこういった不正咬合を改善し口元の盛り上がりを和らげスッキリとした印象を取り戻す事ができます。
当院では、矯正治療にかかる費用の総額を事前にお伝えし、ご納得して頂いてから治療を開始しております。
また、お支払い方法は低金利のデンタルローン(分割払い)もご用意しておりますので、患者様のライフスタイルに合った矯正治療のご提案も可能です。
インビザラインとは、透明なマウスピースタイプの矯正装置です。透明なので目立ちにくく、簡単に取り外しができることが特徴です。
マウスピースは、歯の動きに合わせて2週間ごとに新しいものに交換し、少しずつ正しい歯並びに導いていきます。
インビザラインは、世界中で500万人以上の患者様に選ばれている、実績のある矯正装置です。目立たないことだけでなく、食事や会話にも支障がないなど、たくさんのメリットがります。
費用月々8,718円~
口元が気になるから、目立つ矯正は避けたい。
人前に出る仕事だから、矯正が見えるのはいやだ。
矯正をしていたらうまく食事ができないと思われている方。
クリッピーCとは、歯を金具とワイヤーで固定するブラケットタイプの矯正装置です。従来のブラケットと異なるのは、ブラケットとワイヤーの固定にゴムや針金ではなく「クリップ状の蓋」を用いることです。
これによりブラケットとワイヤーの摩擦が軽減されるため、歯を動かすときの痛みが少なく治療期間が短縮されます。
また、セラミック製なので歯の色に馴染みやすく、目立ちにくいのも特徴です。
クリッピーCは、治療中の見た目や痛みなどが不安で、矯正治療に踏み出せない患者様におすすめしたい矯正装置です。
食事や会話にも支障がでないなど、メリットがたくさんあります。
費用月々5,721円~
治療期間が長くなりそう。続けていく自信がない。
矯正装置の見た目が気になる。目立ちたくない。
矯正中に痛みがないか不安。快適に生活したい。

矯正の治療の総額は、① 検査費用、② 装置の費用、③ 調整料で算出されます。
● 矯正検査費用:¥55,000(税込)
(矯正検査費用¥33,000+矯正診断費用¥22,000)
● ラビアル(表側装置):¥847,000(税込)
● インビザライン (①非抜歯ケース):¥990,000(税込)
● インビザライン (②抜歯ケース):¥1,100,000(税込)
● 1期治療(ワイヤー矯正):¥429,000(税込)
● 1期治療(インビザライン):¥495,000(税込)
● 2期治療(ワイヤー矯正):¥429,000(税込)
● 2期治療(インビザライン非抜歯):¥495,000(税込)
● 2期治療(インビザライン抜歯):¥605,000(税込)
● 調整料:¥5,500(税込)
● 矯正後の保定費用:¥55,000(税込)
● 保定時観察料:¥3,300(税込)
● 矯正時の抜歯:¥11,000(税込)
デンタルローンに関して
矯正治療は、治療はしたいけど経済的な負担が大きくてどうしても踏み切れなという患者様のお声も聞くこともございます。
当院では、患者様ご自身に合わせた金額で分割払いできるデンタルローンを導入しております。
また、当院は自由診療を選択される患者様が多くデンタルローンの実績が多い為、他医院よりも低金利(実質年率3.9%)でご利用頂くことができます。
ボーナス併用返済の場合
月々5,721円
| ご利用金額 | 770,000円 |
|---|---|
| 分割払い手数料 | 108,746円 |
| お支払い総額 | 878,746円 |
| お支払い回数 | 84回 |
| 月々のお支払い額 | 5,721円 |
| ボーナス月お支払い額 | 34,162円 |
分割返済の場合
月々10,489円
| ご利用金額 | 770,000円 |
|---|---|
| 分割払い手数料 | 111,080円 |
| お支払い総額 | 881,080円 |
| お支払い回数 | 84回 |
| 月々のお支払い額 | 10,489円 |
※但し、最終お支払い額で端数調整をいたします。
ボーナス併用返済の場合
月々8,718円
| ご利用金額 | 990,000円 |
|---|---|
| 分割払い手数料 | 140,502円 |
| お支払い総額 | 1,130,502円 |
| お支払い回数 | 84回 |
| 月々のお支払い額 | 8,718円 |
| ボーナス月お支払い額 | 37,159円 |
分割返済の場合
月々13,486円
| ご利用金額 | 990,000円 |
|---|---|
| 分割払い手数料 | 142,833円 |
| お支払い総額 | 1,132,833円 |
| お支払い回数 | 84回 |
| 月々のお支払い額 | 13,486円 |
※但し、最終お支払い額で端数調整をいたします。
お電話(06-6627-8777)もしくは、WEB診療予約から相談のご予約をお願いします。
問診票の記入・各種手続きを行って頂き、スタッフがお声がけするまでお待ちください。
現状の口腔内を矯正担当のドクターがチェックをさせて頂きます。
※虫歯や歯周病の症状がある場合は、先に治療を行う場合がございます。
矯正担当のドクターから矯正治療に関するご説明などをさせて頂きます。
この際に、わからないことや疑問に思っていることなどをお気軽にお申し付けください。
矯正相談終了後は、ご帰宅頂きじっくりとご検討ください。当院では、強引な勧誘や押し売りは一切ございませんのでご安心ください。
矯正治療を進める場合は、後日お電話にてご連絡をください。
その際に、精密検査のご予約を取って頂きます。
矯正治療の診断に必要な歯型の作成や、お顔や口腔内の写真撮影、レントゲン撮影を行います。セファログラムという横からのレントゲン写真も撮影し、骨格と歯のバランスを考慮し治療計画を立てます。
また、むし歯や歯周病の検査を行い、口腔内の健康状態を確認します。

総合診療医(GP)と矯正医、それぞれの分野から総合的に診断し、患者様の最適な治療プランを計画していきます。

一般的な矯正の場合は、矯正装置をセットします。
マウスピース矯正の場合は、最初のステージのマウスピースをセットします。
使用上の注意点などを説明し、装着や取り外しの練習を行います。
治療計画の中で、必要があればアタッチメントの装着やIPRを行います。
マウスピースによる歯の動きをより正確にするための、歯の表面につける白いプラスチック製のポッチです。
従来のワイヤーに比べて艶やかなので、舌や粘膜を傷つけません。
歯と歯が隣同士くっついている部分のエナメル質をほんのわずか削ります。
すき間をつくることで歯を抜かずに、歯並びを整える処置です。痛みはありません。

マウスピース矯正の場合は1.5~3カ月毎に1回、他の矯正装置の場合は1カ月毎に1回のペースでメインテナンスが必要です。
矯正装置と歯の適合状態や口腔内の衛生状態などを診療します。また歯石の除去や、歯のクリーニング、ブラッシング指導も行います。
矯正治療期間は歯の状態にもよりますが、約1~3年です。

目的の位置まで歯が移動したら、矯正治療終了です。しかし、矯正が終わったばかりの歯はしばらく不安定です。
そのままにしておくと少しずつ動き、元の位置に戻ろうとしてしまいます。そこで、歯の位置が戻ってしまわないように行うのが「保定」です。治療終了直後は、マウスピースや歯の裏側を固定する保定装置を食事や歯磨き以外の時間に装着します。
歯の状態によりますが、マウスピースタイプの保定装置では治療直後は24時間から始め、歯並びの状態を確認しながら1日平均8~12時間の装着が必要です。
保定期間は約2年で、3~6カ月に1回はメインテナンスのための通院が必要です。これは、矯正によって歯を動かした後に歯並びが崩れてしまうのを防ぐために大事な期間になります。一緒に、がんばりましょう。

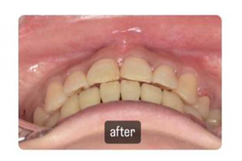
術前

術後
| 年代/性別 | 35歳/女性 |
|---|---|
| 主訴 | 歯のガタつきを治したい |
| 治療方法 | インビザライン(マウスピース矯正)での治療 |
| 費用 | 90万円 |
| 備考 | 高度な診断力を要する為、診断能力の無い歯科医師に当たると失敗するリスクがある。 |
術前
術後
ワイヤー矯正は絶対に嫌だということで、インビザラインで治療しましたが、快適に治療できたようで満足されていました。

術前

術後
| 年代/性別 | 24歳/女性 |
|---|---|
| 主訴 | 歯並びを治したい |
| 治療方法 | セファロ・CT・顔貌分析後を行い、矯正(ワイヤー矯正)による治療 |
| 費用 | 70万円 |
| 備考 | ワイヤー矯正のため治療中に虫歯や歯周病に感染するリスクがある。 |
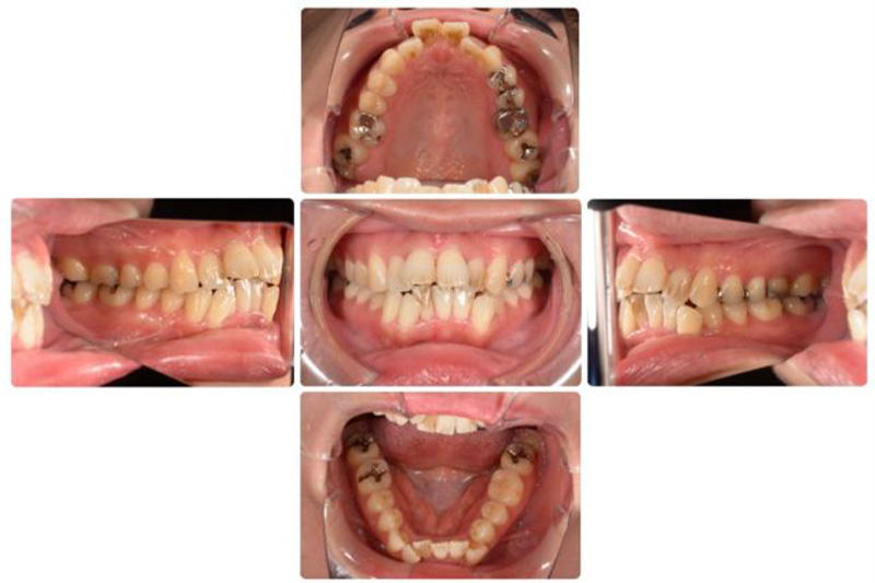
術前
術後
術前
術後
遠方にもかかわらず長らく通っていただいたので、理想的な機能的、審美的な結果を得ることができたので良かった。
本人も結婚前に治療が完了して、喜ばれていました。

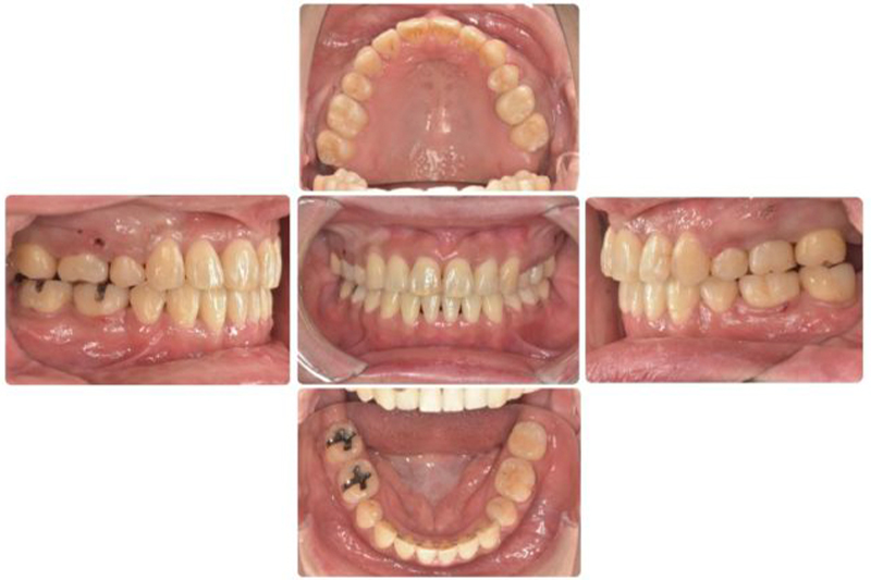
術前

術後
| 年代/性別 | 28歳/男性 |
|---|---|
| 主訴 | 歯並びを改善したい |
| 治療方法 | ワイヤー矯正による治療 |
| 費用 | 70万円 |
| 備考 | ワイヤー矯正のため、治療中の虫歯、歯周病の感染に対する対策が必要。 |
術前
術後
術前
術後
治療前は前歯の噛み合わせが悪く、奥歯へのダメージが危惧されたが、30代前半までに修正することができたので予後の安定を図ることができた。
患者さんも満足されていました。

術前

術後
| 年代/性別 | 30代/女性 |
|---|---|
| 主訴 | 銀歯を入れた歯が痛い |
| 治療方法 | ワイヤー矯正による治療 感染根管治療 オールセラミックス ファイバーコア |
| 費用 | 矯正精密検査・・・¥16,500 矯正治療費・・・¥77,000 矯正装置調整料・・・¥5,500 矯正保定料・・・¥55,000 感染根管治療・・・¥143,000 ファイバーコア・・・¥77,000 |
| 備考 | かみ合わせが悪いことで歯が割れる、痛みが出る、ブラッシングがやりにくい、など歯の寿命を短くする原因にもつながります。 |
術前
術後
見た目が綺麗になるというのももちろん大切ですが、人生100年と言われる時代ですので、この先の人生、自分の歯で美味しくご飯を食べられるように歯が壊れていくのを防止することを目的に、当院では矯正治療を行っています。