カテゴリー
以下クリックで各カテゴリーの症例がご覧いただけます。
ブリッジにぐらつきがあるとの事で来院。原因はかみ合わせ?!
天王寺駅から徒歩1分・マイクロスコープを用いて治療をしている大阪市阿倍野区の歯医者『松川デンタルオフィス』の金丸です。
今回はぐらつきのあるブリッジを治療したいとの事で来院された患者様の症例をご紹介いたします!
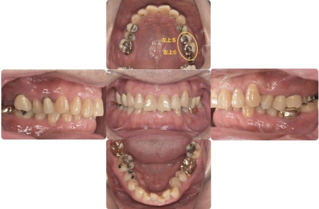
まずはレントゲン写真と口腔内写真をご覧下さい。


この写真を見て何か違和感を感じませんか?
よく見ると、奥歯にばかり治療歴があります。
ではこの方は奥歯を磨くのがとても苦手だったのでしょうか、、?
実はこの方の歯が悪くなる原因は噛み合わせにあります。
正面からのかみ合わせを見た時、下の歯がほとんど見えませんこれは「ディープバイト」と言ってよくない歯並びである不正咬合の一つです。
本来、人は上下の顎の前後運動により奥歯にかかる圧を抜いてバランスを保っています。しかしこのかみ合わせは前後に擦り合わせるスペースがないため、奥歯がずっと噛み合ったままの状態です。そのため、奥歯にばかり負担がかかり、ヒビが入ってきてしまったり、治療をして詰め物をしても取れてしまったりしてくるのです。これを治すにはかみ合わせのバランスを整える、つまり「矯正」が必要になります。
当院では主訴の治療はもちろんですが、治療が必要になった根本的な原因から追求します!
矯正治療の必要性をしっかりと説明して理解して頂き、行うことになりました。
では、主訴に戻りましょう。
こちらが局所のレントゲン写真です


根っこの先に膿が溜まってしまい、根尖病変ができてしまっています。また、5番目は上の補綴と大きくズレてしまっているため、破折してしまっている可能性もあります。
ブリッジにぐらつきがあるのは本来2本の歯で支えていた上の補綴がほぼ6番目だけの力で支えている状態になってしまっているためです。
実際に折れてしまっているかどうかは開けてみないと分からないため、患者様にはその旨をしっかりと説明し、ブリッジを除去しました。
すると、幸運にも歯自体は折れていなかったため、感染根管処置で保存することになりました。
ここからはブリッジを除去したあとからの治療動画があるのでぜひご覧下さい!
この後は感染根管処置を行うのですが、1部の根尖が潰れてしまっていたため、MTAセメントを使って封鎖することになりました。
ここからは根充、MTA根充の動画がありますので、ぜひご覧下さい
治療後は仮歯を装着するのですが、この方は矯正も行うため矯正用の仮歯を装着しながら経過観察を行います。
治療後6ヶ月のデンタル、CTです。

根っこの先で溶けていた骨もここまで回復しました!
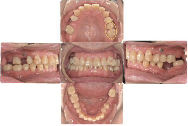
仮歯をつけた状態の口腔内写真です。現在は治療も全て終了し、矯正中です!

かみ合わせの負担は40~50代頃に現れることが多いです。急に詰め物が外れるようになった、欠けてしまったなどの症状は歯に負担がかかっているサインかもしれません。少しでも気になった方は1度お問い合わせください。
この治療の担当者

松川 裕樹Dr.Hiroki Matsukawa
日本有数の日本顕微鏡歯科学会の認定医です。精密な治療を行うために全チェアーにマイクロスコープを導入しているだけでなく、日々歯科医療に関して研鑽を積んでおります。 実際にマイクロスコープを使用して精密な治療を行える歯科医師はまだ少ないのが現状ですが、当院では専門的な知識、経験、技術を持った医師が治療を担当致します。
症例データ
| 年代/性別 | 50代/男性 |
|---|---|
| 症状 | ブリッジにぐらつきがある |
| 費用 | 診断料 ¥16,500 感染根管処置(大臼歯)¥154,000 感染根管処置(小臼歯)¥145,000 リトリートメント ¥44,000 ファイバーコア ¥38,500 MTA根充 ¥44,000 オールセラミックス ¥187,000 治療用セラミックス:¥55,000 矯正診査量:¥55,000 インビザライン(抜歯):¥1100,000 保定料:¥55,000 |
| 備考 | メリット:歯を残すことが出来る デメリット:歯科医に高い技術が求められる |


