歯髄温存療法(VPT)について
深いむし歯で歯髄(神経)が露出したり、その近くまで進行した場合、従来は抜髄(神経を取る処置)が一般的でした。しかし歯髄を失うと歯への栄養供給が断たれ、歯がもろくなり、破折や変色のリスクが高まります。歯の寿命も著しく短縮するのです。
この問題を解決するのが歯髄温存療法(Vital Pulp Therapy)です。※歯髄保存療法と呼ばれることもあります。
特殊な薬剤で歯髄を保護し、歯の生命力を維持したまま治療を完了します。従来なら抜髄が避けられなかった症例でも、歯髄の機能を保てる可能性があります。
治療法は症状の程度により選択されます。適切な診断と処置により、歯髄を残しながら症状を改善可能です。
そもそも「歯髄(しずい)」とは?
歯髄(しずい)とは、一般的に「歯の神経」と呼ばれる組織のことです。
歯の内部には髄管(ずいかん)と呼ばれる細い管が根の先まで通っており、その中に血管や神経が詰まっています。これが歯髄です。
歯髄は、歯に栄養や水分を送り続け、内側から弾力性を保つ役割を持っています。そのため、むし歯治療などで歯髄を失ってしまうと、栄養供給が断たれた歯は枯れ木のようにもろくなり、変色や破折(歯が割れること)のリスクが劇的に高まってしまうのです。
- Q歯髄(神経)を取る・取らないで歯の寿命は変わる?
歯髄を保存するメリットは? -
歯の神経(歯髄)は、歯に栄養を供給し、その寿命を支える重要な組織です。歯髄があることで歯の強度や弾力性が保たれ、天然歯が持つ自然な色合いも維持されます。
また、歯髄は温度の変化や噛む力などを感知するセンサーの役割も担っています。この感覚機能があるからこそ、むし歯などの異常に早期に気づくことができ、適切な治療へつなげられるのです。
実際に、歯髄を失った歯は将来的に根が割れてしまう「歯根破折」のリスクが著しく高まることも明らかになっています。つまり、歯髄を大切に保存することは、ご自身の歯と生涯にわたって付き合える可能性を大きく高める選択といえます。
治療の分かれ道となる「露髄(ろずい)」
露髄(ろずい)とは、深いむし歯や外傷によって歯に穴が開き、中の歯髄(神経)が外に露出してしまった状態を指します。細菌だらけの口腔内に無防備な神経が晒されるため、非常に感染リスクが高い状態です。
従来、この「露髄」が確認された時点で、感染を防ぐために「抜髄(神経を全て取る処置)」を行うのが歯科治療の常識でした。しかし、マイクロスコープやMTAセメントの登場により、適切な処置を行えば、露髄しても神経を残せる可能性(歯髄温存療法)が出てきました。
虫歯になった時に歯髄(神経)を取る理由

むし歯が歯髄(神経)まで到達すると、細菌感染により炎症が起こります。初期はズキンズキンと脈打つ激痛が現れ、これは歯髄の炎症反応を示す典型的な症状です。
進行すると食事のたびに顎全体へ鈍痛が広がるようになります。さらに根尖部まで感染が及ぶと、膿がたまり顔面が腫れる危険もあるのです。
最終的に歯髄が壊死すると痛みは消失しますが、感染源は残ります。この段階では歯髄除去以外に感染拡大を防ぐ手段はありません。炎症の部位によっては外科処置や抜歯を選択せざるを得ない症例もあります。
当院の歯髄温存療法(VPT)の治療法
歯髄温存療法(Vital Pulp Therapy)とは、露出してしまった歯髄を特殊な薬剤で保護し、歯髄の「生きる力」を最大限に活かして保存する治療法です。
症状や露髄の大きさに合わせて、主に以下の3つの方法を選択します。
間接覆髄法(かんせつふくずいほう)
むし歯を取った後、歯髄(神経)との間に薄い層が残っている場合の治療法です。保護材を詰めて刺激から歯髄を守り、安静に保ちます。時間をかけて丈夫な層が作られるのを待ち、歯髄を温存します。
直接覆髄法(ちょくせつふくずいほう)
むし歯を取る際に歯髄が一部出てしまった場合の処置です。MTAセメントのような特殊な薬剤で露出部分を保護し、歯が本来持つ力で神経を守る硬い組織の再生を促します。ただし、治療の適否は、神経の状態やご年齢などを見極める慎重な診断が欠かせません。
断髄法(だんずいほう)
歯髄の表面だけが悪くなっている場合、その部分だけを取り除く方法です。奥の健康な歯髄は残し、取った部分の上に硬い組織を作らせます。残った歯髄は機能を維持し、歯の寿命を延ばします。どこまで悪くなっているかの見極めが治療の成否を分けます。
歯髄温存療法(VPT)ができないケース
すべての歯が温存できるわけではありません。
「神経を残すこと」にこだわるあまり、感染した神経を無理に残すと、かえって病気を悪化させてしまいます。当院では精密な診断の結果、以下の状態にある場合は、無理に残さず「精密根管治療」への移行をお勧めしています。
「歯髄壊死」や「歯髄壊疽」まで進行している場合
露髄を放置して感染が進み、神経が死んでしまった状態を「歯髄壊死(しずいえし)」と呼びます。
さらに感染が進み、細菌によって神経が腐敗してドロドロになり、悪臭を放つ状態が歯髄壊疽(しずいえそ)です。
ここまで進行してしまうと、VPTでの保存は不可能です。壊死・壊疽した組織を完全に取り除き、髄管の中を無菌化する歯髄壊死治療(精密根管治療)が必要となります。
痛み止めが効かないほどの激痛がある場合
すでに炎症が歯髄全体に広がっている(不可逆性歯髄炎)可能性が高く、この場合は抜髄(イニシャルトリートメント)を選択した方が、結果として歯を長く残せる場合があります。
神経が死んでしまっている・激痛がある方へ
当院の診断にて、「歯髄温存療法」の適応外となった場合でも、当院の強みである「精密根管治療」で歯の保存に全力を尽くします。神経を取る処置(抜髄)や、壊死した神経の治療については、以下の詳細ページをご覧ください。
当院の歯髄温存療法(VPT)の特徴
MTAセメントの使用

歯髄温存療法を成功に導く上で重要な役割を担うのが、MTAセメントという特殊な材料です。優れた封鎖性により細菌の侵入を完全に防ぎ、高い生体親和性で歯髄(神経)への刺激を最小限に抑えます。さらに、材料自体が持つ抗菌作用で感染を抑えつつ、歯の細胞に働きかけて自然治癒を促す作用も認められており、治療の成功率を高めるために欠かせない材料といえます。
マイクロスコープの使用

精密治療を可能にする拡大視野システムがマイクロスコープです。約20倍の拡大により、肉眼では見えないむし歯と健全歯質の境界を明確に識別できます。感染部分だけを確実に除去し、健康な歯質を最大限温存する精密な処置が可能です。過剰な切削による歯髄露出を防げるので、歯髄温存の成功率が大きく向上します。
ラバーダム防湿

無菌的な治療環境を作る防湿システムがラバーダムです。ゴム製シートで治療する歯以外を覆い、唾液や口腔内細菌を完全に遮断します。細菌汚染は歯髄温存療法失敗の最大要因であり、確実な防湿により成功率が飛躍的に向上します。当院では、原則として全症例で実施しています。
歯髄温存療法を治療動画で解説
歯髄温存療法(VPT)の症例
過去に治療した歯の違和感が消えない?!

Before

After
治療の流れ

1年半前に保険治療で入れた右上の銀歯に違和感が続き、「歯髄(神経)を取る必要がある」と診断された患者様が、質の高い治療を求めて来院されました。
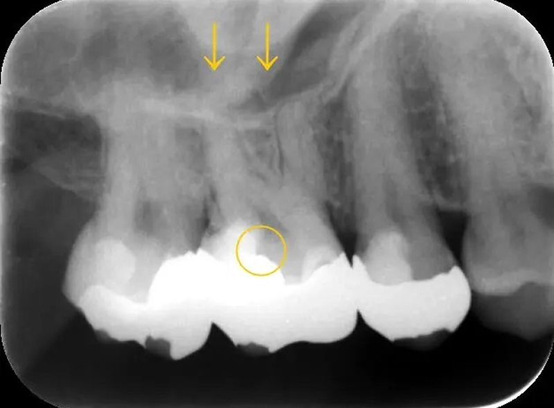
レントゲンで診ると、歯髄の近くまで歯を削っていることがわかります。
銀歯を外した後、銀歯の下の材料と虫歯を取り除き、歯の縁にレジンを盛ります。
感染部分を取ると歯髄が露出しましたが、腐敗していない為、歯髄温存療法を行いました。
もともとあった違和感は治療後すぐに無くなり、経過良好です。
| 年代 / 性別 |
30代/男性 |
|---|---|
| 主訴 | 治療した歯に違和感がある。 |
| 費用 | 診断料:¥16,500- オールセラミックス:¥187,000- 歯髄温存療法:¥66,000- |
| 備考 | メリット:神経を残すことが出来る デメリット:歯科医師に高い技術が求められる |
他院では残せないと言われた歯髄(神経)も残せる可能性があります。

他院で「歯髄(神経)を抜くしかない」と診断され、本当に他に選択肢はないのかと悩んでいませんか。
諦めるのは、まだ早いかもしれません。歯髄を失った歯は脆くなり、将来的に歯を失うリスクが高まります。
当院では、豊富な実績と経験を基に精密な診断を行い、マイクロスコープで感染部分のみを的確に除去することで歯髄を残す「歯髄温存療法」を行っています。
あなたの大切な歯の寿命を延ばすため、抜髄と診断された方も、ぜひ一度ご相談ください。


