カテゴリー
以下クリックで各カテゴリーの症例がご覧いただけます。
他院にて詰め物を入れたが違和感が治まらず、神経が死んでしまっていた患者様 感染根管治療にて治療
天王寺駅から徒歩1分・マイクロスコープを用いて治療をしている歯医者『松川デンタルオフィス』金丸です。
今回は過去に部分的な詰め物をしたが、違和感が止まらないとの事で来院された患者様の症例を紹介します。
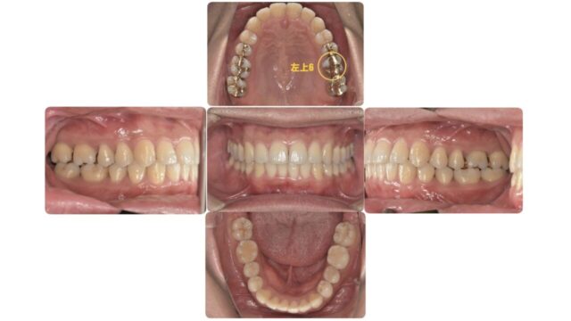
まずはレントゲン写真と口腔内写真をご覧下さい


今回の部位は左上6番です
大きく部分的な詰め物が入っていますね。前回のブログでも紹介した、禁忌のMODインレーが入っています、、
拡大して見てみましょう。

所々色が暗くなってるところはカリエスになっているところです。
レントゲン写真、CTでも見てみましょう


黄色く囲っているところはカリエスで、青く囲っているところは根尖病変ができてしまっているところです。
上の歯は上顎洞といって鼻に繋がる空洞があるのですが、今回の歯はその上顎洞の粘膜まで肥厚してしまっています。
神経が生きているかどうか調べるテスト(EPT)をしましたが、残念ながら死んでしまっていたため、感染根管治療を行いました。
最後の洗浄の様子が動画でありますのでご覧下さい。
治療後のデンタル写真がこちらです。

ずっとあった違和感も治療が終わる頃にはなくなっていたようです!
この後は仮歯を装着し、経過観察を行います。
6ヶ月後のCTがこちらです。

根尖病変ができていたところには骨ができ、上顎洞の肥厚も大きく縮小しました。
経過観察が終了したら最終系の型取りをして装着します。

この歯はレントゲン写真でもわかるほどカリエスの取り残しがありました。最初の治療でカリエスをきちんと取りきることが大切なのは大前提です。
しかし今回の患者様は治療後に違和感あったにもかかわらず、お仕事が忙しく、通院が後回しになってしまっていたようです😭
もう少し介入が早ければ神経を残せたかもしれません。神経がある歯と無い歯では歯の寿命や強度は大きく変わります!
少しでも違和感のある歯がある方は早めの対処をオススメします!
当院にもぜひ一度お問い合わせください🍀*゜
この治療の担当者

松川 裕樹Dr.Hiroki Matsukawa
日本有数の日本顕微鏡歯科学会の認定医です。精密な治療を行うために全チェアーにマイクロスコープを導入しているだけでなく、日々歯科医療に関して研鑽を積んでおります。 実際にマイクロスコープを使用して精密な治療を行える歯科医師はまだ少ないのが現状ですが、当院では専門的な知識、経験、技術を持った医師が治療を担当致します。
症例データ
| 年代/性別 | 30代/男性 |
|---|---|
| 症状 | 他院にて詰め物を入れたが、違和感が治まらない |
| 治療方法 | 感染根管治療 |
| 費用 | 診断料 ¥16,500- 感染根管処置(大臼歯)¥154,000- リトリートメント¥44,000- ファイバーコア ¥38,500- オールセラミックス ¥187,000 |
| 備考 | メリット:歯を残すことが出来る デメリット:歯科医・矯正医共に高い技術が求められる |


