カテゴリー
以下クリックで各カテゴリーの症例がご覧いただけます。
過去に神経を残して詰め物をしたが、痛みがある患者様 詰め物の下で感染が取り切れていなかった症例
天王寺駅から徒歩1分・マイクロスコープを用いて治療をしている大阪市阿倍野区の歯医者『松川デンタルオフィス』の金丸です。
今回は前回の患者様と同じ方になります。
主訴は「過去に神経を残して詰め物をしたが、痛みがある」との事です。
では早速口腔内を見ていきましょう。


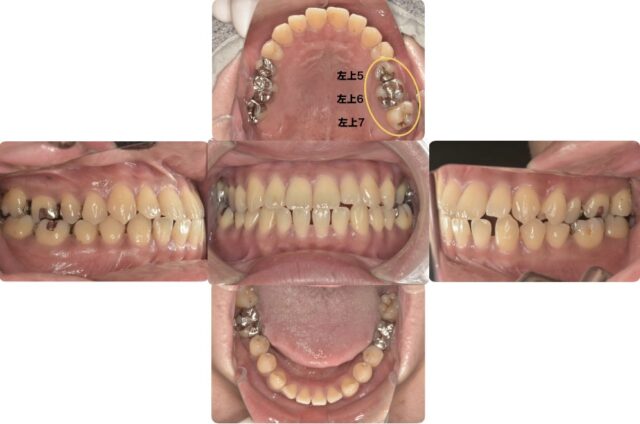
今回の部位は左上5、6、7です。

5番目と6番目にはメタルインレー、7番目にはCR(レジン)が詰められています。
その中でも6番目の歯の補綴の形に注目してください。前側と後ろ側がどちらも覆うような形状をしています。
これは補綴を作る上では禁忌の形状と言われている「MODインレー」です。
M▶近心(歯の前側)
O▶咬合面(歯の噛む面)
D▶遠心(歯の後ろ側) という意味です。
推奨されない理由は
1.歯の強度が下がる
咬合面に残る歯質が少なくなるため、クラックや破折が起きやすくなります。
2.辺縁適合のリスクが高い
歯の前も後ろも作り物になるため、隣在歯との適合が悪くなるリスクが高くなります。
3.二次う蝕リスクが上がる
適合が悪いと清掃性が下がるので、カリエスリスクが上がってしまいます。
そのため、咬合面を全て覆うような形状(オンレー)にすることが望ましいのですが、実際保険で治療を行った場合、このMODインレーを入れてしまう医院はとても多いのが現実です、、
ではなぜ推奨されないと分かっていてもそういった補綴を入れてしまうのでしょうか?
それは保険では「オンレー」という項目が存在しないためです。そのため実際には
・咬頭を覆わない場合 → インレー
・咬頭を覆う場合 → クラウン(被せ物)
という風に分けられます。
つまり、咬頭をカバーした時点で「インレー」では算定できず、クラウン扱いになります。
そうなると歯の切削量は必然的に上がってしまうため、患者様の負担は大きくなります。
そのため「短期的な削除量や患者様の受け入れのしやすさ」を優先してMODインレーにしてしまう医院が多いのですが、長期的な予後を考えるとオンレーか被せ物の方がいい事の方が多いのです。
こちらはレントゲン写真です。

痛みがあるのは6番目の歯ですが前後の歯にも感染が見られたため、一緒に治療することになりました。
ここからは治療の動画がありますので、ぜひご覧下さい。
いかがでしたか?
動画で紹介したのは5番目のみですが、6番目は同じように歯髄温存療法を行うほどに感染してしまっていました。7番目は感染は多く残っていましたが、神経までは広がっていませんでした。

治療後のレントゲン写真がこちらです

この後は経過観察を行い、神経が生きていることを確認した後に、最終の補綴を入れました。
今回の症例はレントゲン写真を見てもわかるくらい大きく感染してしまっていました、
定期的にレントゲンを撮っていれば症状が出る前にもっと早く治療に移行できたかもしれません。
カリエスは早期発見、早期治療が大切です。
普段のメインテナンスからしっかり見てもらえるところを選びましょう✊
過去に詰め物を入れて違和感がある、浮いてきてしまったなどの症状がある方はぜひ一度お問い合わせください!
この治療の担当者

松川 裕樹Dr.Hiroki Matsukawa
日本有数の日本顕微鏡歯科学会の認定医です。精密な治療を行うために全チェアーにマイクロスコープを導入しているだけでなく、日々歯科医療に関して研鑽を積んでおります。 実際にマイクロスコープを使用して精密な治療を行える歯科医師はまだ少ないのが現状ですが、当院では専門的な知識、経験、技術を持った医師が治療を担当致します。
症例データ
| 年代/性別 | 30代/男性 |
|---|---|
| 症状 | 過去に神経を残して詰め物をしたが痛みがある |
| 治療方法 | 歯髄温存療法 |
| 費用 | 診断料 ¥16,500 オールセラミックスオンレー ¥110,000×3 歯髄温存療法 ¥66,000×2 |
| 備考 | メリット:歯を残すことが出来る デメリット:歯科医に高い技術が求められる |


