カテゴリー
以下クリックで各カテゴリーの症例がご覧いただけます。
矯正中に歯茎に違和感!問題ないと言われたが実は、、
天王寺から歩いて徒歩1分マイクロスコープを用いて診療を行っている大阪市阿倍野区の歯医者「松川デンタルオフィス」歯科衛生士の下村です。
本日は富田林市から当院に来院された患者様の症例です。
今回紹介させていただくのは、他院で矯正中に起きたトラブルです⚠️
こちらの患者様は、マウスピース矯正を行っていましたが、左下の6番目の歯に違和感があり、矯正してる医院で伝えると矯正で力がかかっているので、それが原因だと言われたそうです。
しかし、違和感が気になるとのことで当院に来院されました。
初診時はレントゲンや必要に応じてCT、お口の写真を撮っていきます。
では、どのような状態になっているのか見ていきましょう🔍

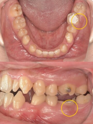
こちらが全体の写真です。
主訴の左下の歯を見てみましょう。

歯茎がパンパンに腫れています。
レントゲンを見ていきましょう。

お口全体のパノラマレントゲンでもわかるほど、根っこの先に病変があります。
こちらは部分的なレントゲンとCTです。

かなり大きい病変があり、歯を支えている骨が溶けています。
根管治療が必要のため、当院で治療を行うことになりました。
根管内を洗浄している動画があるので、ご覧ください!
根管治療を行ったあとは、土台を立てて矯正用の仮歯を装着しました。
他院での矯正終了後に最終のセラミックスの被せ物を装着する予定です。
治療前後のデータをご覧下さい。

病変も縮小し、溶けていた骨も回復しました!
歯茎にあった腫れも根管治療後すぐに無くなり、違和感も無事消えています!

この方の様に矯正中にトラブルを起こす患者様は、多数いらっしゃいます。
当院は、院長が治療を行い、矯正治療は沖田先生が担当、矯正中も3ヶ月に1回必ずメンテナンスを衛生士が行なっています。
三本柱で緻密な連携をとることで、矯正中にトラブルがあっても早い段階で対応、治療することが可能です!◎
今は多数のクリニックがあり、矯正を専門とする比較的低価格で矯正ができる様な医院も多いですが、歯を並べることに関しては知識が豊富でも、虫歯や歯周病には無関心なことも少なくないです。
今回のケースも違和感を感じた患者様が当院に来院してくださったので、根管治療を行い歯を残すことができましたが、もし来院されてなかったら抜歯になっていたでしょう、、
せっかくお金をかけて矯正をしたのに、抜歯になっては本末転倒ですね😔
当院は歯を大事にしたいという患者様の思いに応えてさせていただきますので、お悩みがある方はぜひお問合せお待ちしております。
この治療の担当者

松川 裕樹Dr.Hiroki Matsukawa
日本有数の日本顕微鏡歯科学会の認定医です。精密な治療を行うために全チェアーにマイクロスコープを導入しているだけでなく、日々歯科医療に関して研鑽を積んでおります。 実際にマイクロスコープを使用して精密な治療を行える歯科医師はまだ少ないのが現状ですが、当院では専門的な知識、経験、技術を持った医師が治療を担当致します。
症例データ
| 年代/性別 | 30代/女性 |
|---|---|
| 症状 | 矯正治療中に歯茎の腫れと違和感がある。 |
| 費用 | 診断料:¥16,500- 感染根管処置(大臼歯):¥154,000- リトリートメント:¥44,000- ファイバーコア:¥38,500 治療用セラミックス(矯正用仮歯): ¥55,000 オールセラミックス:¥187,000 |
| 備考 | メリット:歯を残すことが出来る デメリット:歯科医に高い技術が求められる |


