カテゴリー
以下クリックで各カテゴリーの症例がご覧いただけます。
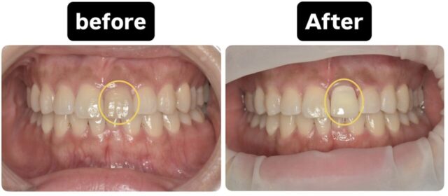
歯の神経の取り残しによって歯が黒ずんでしまった患者さま
天王寺駅から徒歩1分・マイクロスコープを用いて治療をしている大阪市阿倍野区の歯医者『松川デンタルオフィス』の金丸です。
奈良県から当院に来院された患者様の症例です。
今回は「歯の色味が気になる」とのことで来院された患者さまの症例をご紹介いたします!
まずはパノラマ写真と口腔内写真をご覧下さい。 

今回の部位は左上1番です。隣の歯と比べるとトーンが暗いように見えますね。
デンタル写真やCT写真でも見てみましょう


根っこの先に膿が溜まってしまっています。
現在症状などはないそうですが、根管治療のやり直しが必要となります。
歯の色が暗くなってしまった原因は神経を除去したためです。これは仕方の無い事なのですが、最終の補綴を被せ物にしていれば色のトーンを合わせることは出来ます!
ここからは動画がありますので是非ご覧ください。
いかがでしたか?この後は用意した仮歯をつけて終了となります。
今回の根尖病変の原因は神経の取り残しにありました。今回取り残しがあった箇所は動画でも示したように「髄角(ずいかく)」とよばれる場所で神経の一番端のところです。

髄角とは
歯の内部にある神経や血管で満たされた組織「歯髄」の一部で、特に歯の咬み合う面(咬合面)に近い、細く尖った部分を指します。
また、解剖学的に表側、裏側共に丸みを帯びるように神経が通っているのですが、他院では歯の裏側に小さく穴を開けて治療が行われていたため、周りの神経が取り切れなかったと考えられます。

また、今回は根尖の先が破壊されてしまっていたので、MTAセメントを使って根管充填しました。
こちらが治療後のデンタル写真です。

中途半端に入ってしまっていた薬もきっちり除去し、隙間なく充填されているのがわかると思います!
仮歯をつけた状態の写真です

通常根管治療は何回かに分けて行うことが多いですが、動画でご覧いただいたように当院は前歯の根管治療であれば1日で終わらせることができます。
今回の患者様も1回目の根管治療は1日で終わったそうですが、神経の取り残しがあったり治療の質が落ちてしまっては意味がありません。
きちんと解剖学的形態を理解し、治療することが大切です。
また、神経を失った歯は色のトーンが落ちるのは仕方の無いことなのでそれをきちんと説明するか、それも考慮した補綴を作成するのが理想的でした。
前歯の根管治療で歯の一部だけ削って行った、あるいは歯のトーンが1本だけ暗い、などがある場合神経の取り残しがある可能性があります。少しでも気になった方はぜひ一度お問い合わせください!
この治療の担当者

松川 裕樹Dr.Hiroki Matsukawa
日本有数の日本顕微鏡歯科学会の認定医です。精密な治療を行うために全チェアーにマイクロスコープを導入しているだけでなく、日々歯科医療に関して研鑽を積んでおります。 実際にマイクロスコープを使用して精密な治療を行える歯科医師はまだ少ないのが現状ですが、当院では専門的な知識、経験、技術を持った医師が治療を担当致します。
症例データ
| 年代/性別 | 20代/女性 |
|---|---|
| 症状 | 歯の着色が気になる |
| 治療方法 | 感染根管治療 |
| 費用 | 診断料:¥16,500 感染根管処置(前小臼歯)¥143,000- リトリートメント¥44,000- ファイバーコア ¥38,500- オールセラミックス ¥187,000- |
| 備考 | メリット:歯を残すことが出来る デメリット:歯科医・矯正医共に高い技術が求められる |


