WEB診療予約

CASE

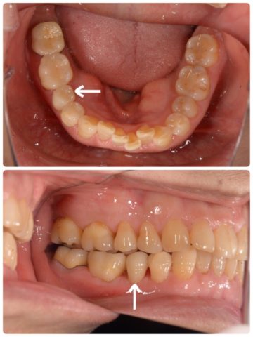
症例紹介

あなたのお困りや症状に合うケースが多数載っておりますのでぜひご参照ください。

精度の高い根管治療を検討されている方へ

当院がなぜ、これら多くの症例を成功させられるのか。その理由は、マイクロスコープや精密機器を駆使した「根管治療の専門ページ」で詳しく解説しています。再発を防ぎ、歯を残すためのこだわりをぜひご覧ください。

カテゴリー

以下クリックで各カテゴリーの症例がご覧いただけます。

すべての投稿

歯周病

歯周病について

虫歯治療

オールセラミックスクラウン

矯正歯科

マウスピース

審美歯科

オールセラミックス

審美歯科

オールセラミックスについて