カテゴリー
以下クリックで各カテゴリーの症例がご覧いただけます。
歯並びのせいでものが詰まる、、矯正で治しませんか?
天王寺駅から徒歩1分・大阪市阿倍野区の『松川デンタルオフィス』の金丸です。
当院はすべての診療においてマイクロスコープ(歯科用顕微鏡)を用いた精密な治療を行っております。
今日は矯正の症例をご紹介いたします。
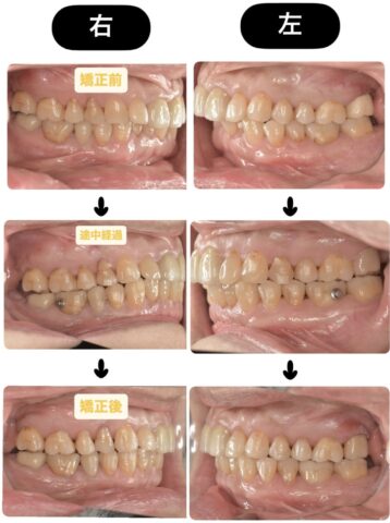
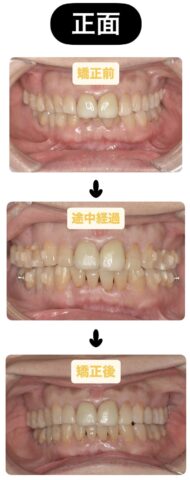
まずはパノラマ、口腔内写真をご覧下さい。


下の前歯にガタツキ、左側から見た時に前歯が大きく前に出ています。
下から、横からの噛み合わせも見てみましょう

かなりガタガタの歯並びをしていますね。
これは”叢生(そうせい)”と”オープンバイト”(開口)いう歯並びに分類されます。
下からの噛み合わせを見るとよくわかるのですが、下の歯が歪んで大きく内側に入ってしまっています。
理想は全ての上下の歯がしっかりと噛み合わさる状態が良いとされています。
この状態だと、左側だけが噛み合ってるので右側の奥歯に大きい負担がかかってしまいます。
パノラマ写真を見たら右下だけ神経を失った歯があるのがわかると思います。神経を失うほどの力がかかってしまっているのです。
この歯並びのまま歳を重ねると、奥歯から順に崩れていくことが予想されます。
皆さんは8020【ハチマルニイマル】はご存知でしょうか?
8020【ハチマルニイマル】とは、日本歯科医師会が推進している運動で、
「80歳になっても20本以上自分の歯を保とう」という健康指標です。
今現代では、100歳時代と言われていますので、自分の歯で生涯食事をするという意識が全国的に広まっています。
しかし、今回の症例のような叢生や、オープンバイト(前歯が上下当たっていない)等の不正咬合の場合8020【ハチマルニイマル】の達成率は0%という統計が出ています。
0%とは驚きですよね。
患者さん自身も歯並びが悪い自覚はあり、歯の隙間にものが詰まることで悩んでおられたようなので、このタイミングで矯正をすることを決めました。
しかし感染がある状態では矯正を進められないため、治療をして矯正用の仮歯をつけます。

では早速矯正の経過を見ていきましょう!



この方は抜歯をせずに進めることができたので期間は3年程です! これでバランスのとれた咬合を獲得できたので、「8020」も達成間違いなしですね!
矯正後は仮歯だった右上7を最終系のセラミックに変えて治療は終了です!

最終系の被せ物は色味も全体に合わせてお作りするので天然歯と見分けがつかないくらい綺麗ですね!
矯正は審美的な目的でされることが多いですが、当院ではかみ合わせのバランスを整えるために矯正治療を提案することが少なくありません。興味のある方は1度ご相談ください!
この治療の担当者

松川 裕樹Dr.Hiroki Matsukawa
日本有数の日本顕微鏡歯科学会の認定医です。精密な治療を行うために全チェアーにマイクロスコープを導入しているだけでなく、日々歯科医療に関して研鑽を積んでおります。 実際にマイクロスコープを使用して精密な治療を行える歯科医師はまだ少ないのが現状ですが、当院では専門的な知識、経験、技術を持った医師が治療を担当致します。

沖田直也Dr.Naoya Okita
日本有数の日本矯正歯科学会の認定医です。松川デンタルオフィスでは、歯を動かすことに徹するプロフェッショナルと、理事長のような総合診療のプロフェッショナルが在籍しているため、見た目のみならず、機能面も重視した総合的な歯科医療を提供することができます。
所属学会
症例データ
| 年代/性別 | 50代/女性 |
|---|---|
| 治療方法 | インビザライン矯正 |
| 治療期間 | 3年半 |
| 費用 | 診断料:¥16,500- オールセラミックス ¥187,000-×4 治療用セラミックス¥55,000-×4 インビザライン矯正:¥990,000- 保定装置:¥55,000- |
| 備考 | メリット:歯を残すことが出来る デメリット:歯科医・矯正医共に高い技術が求められる |


