カテゴリー
以下クリックで各カテゴリーの症例がご覧いただけます。
ソケットプリザベーションとは?
堺市から来院された患者様の症例です。
天王寺から歩いて徒歩1分マイクロスコープを用いて診療を行っている歯医者「松川デンタルオフィス」衛生士の下村です。
インプラントの症例についたご紹介させていただきます。
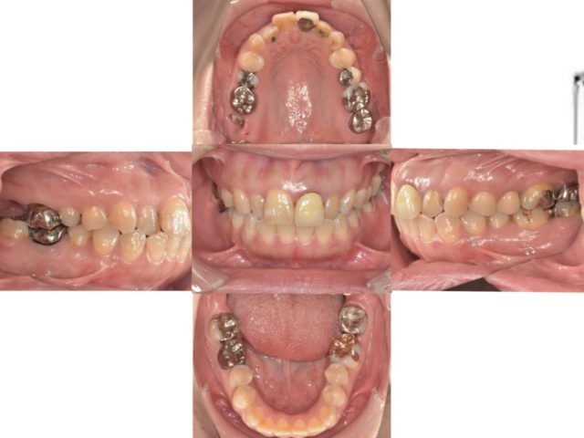
こちらが初診時の口腔内写真です。

“右上の1番奥の歯を他院で抜歯と診断されだが残したい”という主訴で来院されました。

検査診断の結果、この歯は抜歯でIPを行うことになりました。
歯を保存するためには歯茎から2mm以上歯が出ていること(フェルールの獲得)が条件となります。
今回のケースは歯に歯茎が乗ってきているので、歯茎を切って下げることで歯を出す処置(歯冠長延長術)が必要です。
しかし歯茎がかなり覆い被さってるので、フェルールを獲得するためには7mm歯茎を切って下げないといけないのですが、そうなると歯の根っこが露出してしまうため、保存不可能という診断です。
みなさんソケットプリザベーションという言葉は知っていますか?
抜歯をすると歯が埋まっていた部分が穴空き状態になるのがわかりますよね。
歯を抜いてなにもしないでいると、その周囲の骨は時間経過とともに吸収していきます。
これからインプラントを埋入する骨の土台が溶けてしまうのは非常にまずいことです。
そのため、歯を抜いた際にその穴に骨補填材を入れ骨の吸収を防ぐ処置=ソケットプリザベーションを行います‼️

抜歯+ソケットプリザベーション
⬇️6ヶ月経過観察
インプラント埋入OPE
⬇️1ヶ月経過観察
インプラントの仮歯装着
⬇️6ヶ月経過観察
インプラントのセラミックス装着
という流れで治療を行います!
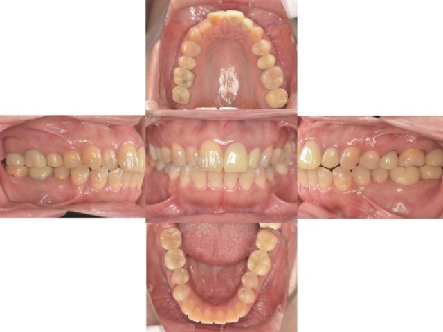
こちらの患者様は最終のセラミックスまで装着が終了しました。

経過観察中に他にも治療が必要な歯があったので同時進行で治療を行いました。
現在の口腔内写真がこちらです!

初診時から比べるととても綺麗になりました
患者様も快適にお食事できる、見た目も綺麗になったととても満足していただいてます!
歯について悩まれている方は是非一度、当院へご気軽にご相談下さい☺️
症例データ
| 年代/性別 | 50代/女性 |
|---|---|
| 費用 | ソケットプリザベーション・・・¥110,000 インプラント、CT解析及びステント料・・・¥110,000 インプラント・・・¥462,000 |


