当院で行った根管治療の症例
当院の精密根管治療では、2017年~2024年に実施した700症例の成功率は98%以上にもなります。
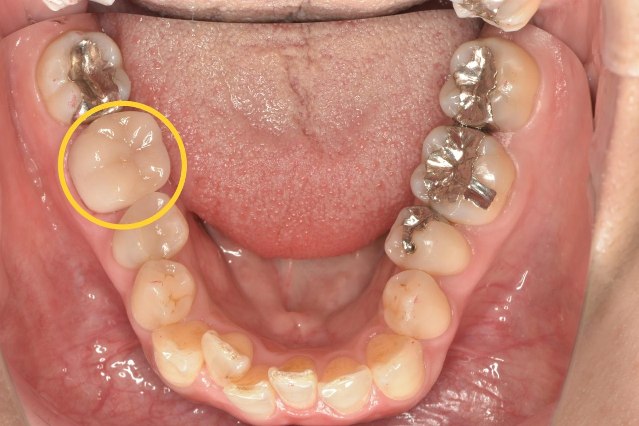
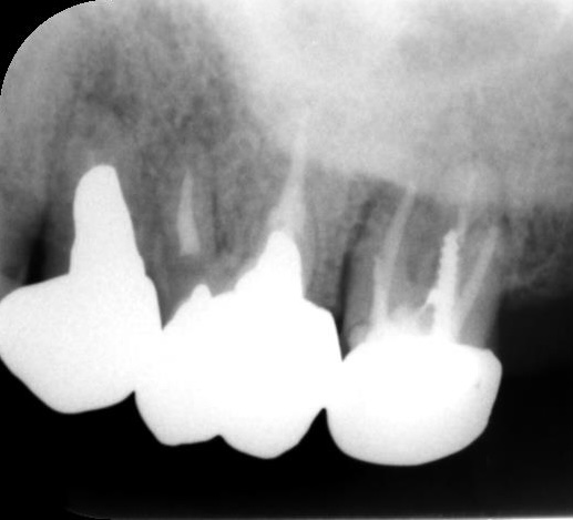
CASE1:【難症例】パーフォレーション(穿孔)をMTAセメントで修復した根管治療
主訴:他院でジルコニア治療後に再発した根尖病変
パーフォレーションのせいでジルコニアを入れた歯に大きな根尖病変が…
根管治療とMTAセメントによるリペア


レントゲン画像にあるように、根管治療を行った後、右上の歯のパーフォレーションにはMTAセメントを使用してリペアしました。
(初診時の影がない部分が骨が溶けている様子です)
内側は骨の壁がなくなるほどごそっと溶けていましたが、一目瞭然でバッチリ回復しています!
処置内容:マイクロスコープによる精密リペアとMTA根管充填
無事、骨も回復し痛みや違和感もなくなったのでオールセラミックスをいれました。当院では、他の歯科医院で抜歯と診断された歯の根管治療を日常的に行っています。高性能な治療器具の導入と、治療時にはアシストする衛生士2人を付けることによって、患者様が安心して治療を受けていただける環境を作っています。




| 費用 |
感染根管処置 ¥154,000(税込)×2 再根管治療費 ¥44,000(税込)×2 パーフォレーションリペア ¥66,000(税込) ファイバーコア ¥38,500(税込)×2 オールセラミックス ¥187,000(税込) オールセラミックインレー ¥99,000(税込) |
|---|---|
| メリット | 歯を残す事ができる |
| デメリット | 歯科医師に高い技術が求められる |
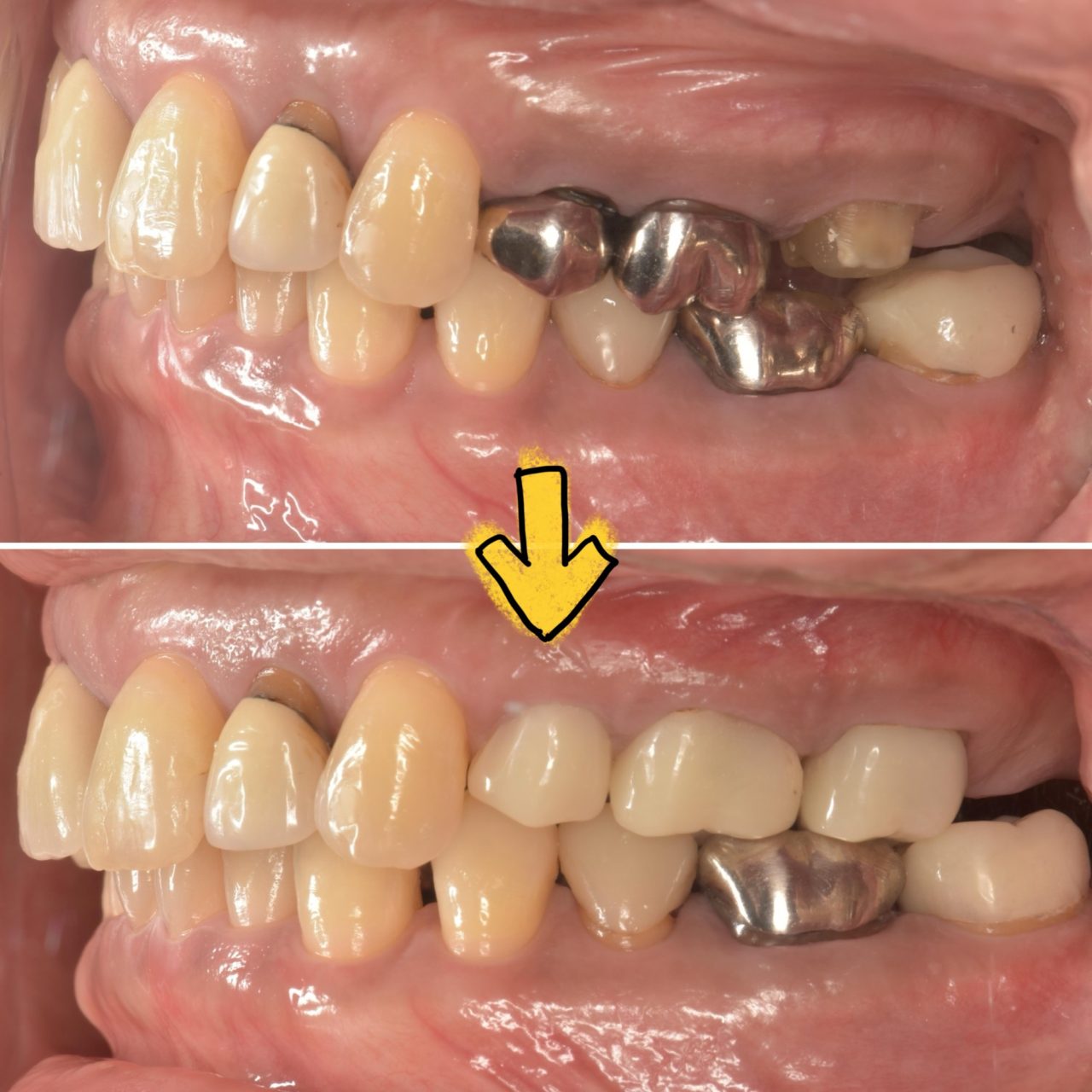
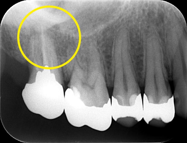
CASE2:【抜歯回避】他院で抜歯宣告された重度根尖病変の保存治療
主訴:歯が浮くような違和感(再根管治療)
歯が浮いている感じがあり、他院で抜歯と言われた
診断:CTによる精密検査で見つかった複雑な感染源


CTでしっかりと診断を行ったところ、とても深刻な状況でした。根管治療が重要ですが、それだけでは完全な治癒が望めない場合もあり、歯槽骨の再生を促す外科的処置が必要になることもあります。
こちらの患者様のように、歯槽骨のダメージが大きい症例では、根管内の感染と歯肉溝内の感染が両方の原因となっていることが多いですね。
処置内容
患者様が歯を残したいという希望を叶えるために、根管治療から始めました。
根管内の感染物を取り、消毒を行なっていると、根管内から溜まった膿がドバッと出てきました。
膿がこれほど溜まっていたとすれば、患者様はかなりの痛みがあったと思います。
EDTA、次亜塩素酸、クエン酸などの消毒液を使用して、根管内を隅々まで徹底的に消毒を行い、根管内の残存歯髄も完全に取り除かなければ、二次感染のリスクが残りますので、それを十分に注意する必要があります。そこで、マイクロスコープを使用し、肉眼では見えない細かい部分まで確認しながら治療を進めました。


根尖病変によりCT上で黒く写っていた部分が白っぽくなっているのがわかりますか?
溶けていた部分の歯槽骨が回復しているということです!
また、上顎洞の肥厚は収まり、頬側の歯槽骨もくっきり映っています。予想以上に歯槽骨が回復しているので、今後外科的処置をしなくても良いのではないかと判断しました。大きなダメージがあった歯なので補綴物を入れた後も欠かさずに経過観察を行い、少しでも長くご自身の歯で生活して頂きたいと思います。
| 費用 |
感染根管処置 ¥143,000(税込) リトリートメント ¥44,000(税込) MTAセメント ¥44,000(税込) ファイバーコア ¥38,500(税込) オールセラミックス ¥187,000(税込) |
|---|---|
| メリット | 歯を残す事ができる |
| デメリット | 歯科医師に高い技術が求められる |
根管治療の成功率を上げる為に当院がこだわる
7つのポイント
01 根管内部まで確認できる「マイクロスコープ」を使用

これまでの治療は、「肉眼」でこの処置を行っておりました。
当然、肉眼での処置は精度にかけ「勘」や「経験」に頼らざるを得なく、ときには「再治療(やり直し)」や最悪のケースで「抜歯」の選択を迫られるケースもありました。
しかし、
「マイクロスコープ」という治療部位を高倍率で拡大する歯科用顕微鏡の登場で、今まで見えなかったもの見えるようになり、根管内を確認しながら治療することが可能になりました。
精度の高い根管治療を行うには、どれだけしっかりと患部を確認できるかが成功率に大きく影響します。このマイクロスコープは根管治療をする上で欠かすことのできない機材です。
マイクロスコープとは?
マイクロスコープとは、治療部位を4倍から最大20倍まで拡大して観察できる顕微鏡のことです。根管治療では内部の汚れを除去することが重要で、そのためには根管内を把握することが必要になります。
根管内は複雑に入り組んでおり、途中で分岐していたり曲がっていたりするケースも多いです。従来の根管治療は見えない状態で手探りで行っているため、取り残しが生じて痛みや炎症が再発してしまうことも少なくありません。しかし、マイクロスコープを使用することで、根管内を見ながら治療ができ、より正確で精密な治療ができます。治療部位を拡大視できるマイクロスコープは、根管治療において成功率を上げるために欠かすことのできない機材の一つなのです。
一方マイクロスコープのデメリットには、1回あたりの治療時間が長くなることが挙げられます。これは、精密根管治療は細部まで注意しなければならないことと、患部を見るために位置と焦点を合わせる必要があるためです。そのため、治療時間を短く済ませたい方には不向きかもしれません。
当院の治療体制について

当院の特徴としては治療時に衛生士2名をアシスタントとして配置し、3名体制で患者様の治療を行っています。 3名体制で治療を行うことで医師が治療道具を取る際にもマイクロスコープから目を離すことなく治療に集中でき、患者様により正確な治療を提供することができます。
一般的な歯科医院では外科処置のときのみアシスタントを配置することが多く、当院のように保存治療の場合にも2名のアシスタントを配置する医院はなかなか有りません。
02 「ラバーダム防湿」を行い、細菌の侵入防止

ラバーダム防湿とは、治療する歯以外に薄いゴム製のシートをかぶせて唾液や菌による治療箇所の感染を防止する器具です。ラバーダムを使う事で、様々な菌が治療箇所に侵入する事を防ぎ、より精度の高い治療を行う事が可能になります。
欧米では、根管治療においてラバーダムを使用することは当たり前になっておりますが、日本では実施している歯科医院は「5%」とも言われております。
当院では、根管治療の際にラバーダムを使用し治療を行っておりますので、ご安心ください。
03 CT(3Dレントゲン)による三次元的な解析

マイクロスコープと同じく、CTも患部を正確に把握するための検査機器です。
通常、歯科治療ではレントゲンで検査することが多く、レントゲン検査でも大まかに口腔内の状況を把握することができます。しかし、歯科用CTを活用することでレントゲンでは発見できない小さな病変も可視化することができます。
04 「充分な治療時間」の確保

根管治療は、非常に細かい作業を要し、非常に手間のかかる治療です。良い治療結果を残すなら、当然、時間をかけて丁寧に行う必要があります。ただ、時間や費用の縛りのある保険制度では、1回の処置に掛けられる時間はどうしても限られてしまうのが現実かもしれません。その結果、1回の処置内容を少なくし、通院回数が多くなった経験は無いでしょうか?このように長い治療期間をかけてしまうと、結果的に再感染が起こってしまったり、歯が割れやすくなるリスクがあります。その為、少し短い期間で集中的に時間をかけて治療をすることが望まれます。

当院では、1回の治療に60~90分ほどの時間をかけ、多数の治療機器を使用し丁寧に治療を行います。そして概ね1~3回の通院で治療を完了します。
05 細菌の侵入を防ぐ為、できる限り高めた「被せ物の適合精度」
根管治療後に、クラウン(被せ物)をして一連の治療は終了しますが、この「クラウン(被せ物)」と自分の歯に隙間が開いているといくら完璧な根管治療を行えても、その隙間から細菌が侵入して根の先に病気を作ることがいくつかの研究でわかってきています。下記のグラフは、根管治療とクラウン(被せ物)の処置がそれぞれ良い時・悪い時の成功率を表したものです。

| 根管治療 | クラウン | 成功率 |
|---|---|---|
| 良い | 良い | 91.4% |
| 悪い | 良い | 67.6% |
| 良い | 悪い | 44.1% |
| 悪い | 悪い | 18.1% |
(Ray HA.Trope M.Int Endod J;1995 Jan;288(1):12-8)
このように、根管治療がうまくできても、精度の低い被せ物を装着してしまうと、再び治療が必要になるケースがあるので、被せ物の処置も非常に重要であることがわかります。当院では、被せ物の処置の際もマイクロスコープを使用し、適合精度をできるだけ高めております。
06 「MTAセメント」による再感染予防と歯質の再生

MTAセメントは歯の神経の保護や穴のあいた歯を埋めるなど根管治療の際にも有効な最新の歯科治療薬です。MTAセメントには強いアルカリ性があり、全てのむし歯菌を取り除かなくてもMTAセメントを埋めることで患部を殺菌することが可能です。
これにより本来、歯の神経を取らなければならないような症状でも歯の神経を残せる可能性が高まります。また、封鎖性が高く、細菌の繁殖や侵入を防いでくれるので治療後の悪化や再治療の予防をすることができます。そして、歯の成分に近く、歯の組織を再生させる効果があるため、治療後の経過が非常に良好になります。
上記の処置にはどうしても時間やコストが掛かってくる為、保険診療の制限内でこれを完璧に行うのは、簡単な事では無いことはご想像できるかと思います。そのため、当院では、根管治療においては、時間や使用する機材・薬に制限の無い自由診療で治療を行っております。
07 日本顕微鏡歯科学会認定医が在籍

日本顕微鏡歯科学会の認定医とは、顕微鏡歯科診療を行うにあたって、ドクターを指導する立場にありますが、日本に156名しかおらず、大阪には9名のみです。(2022年現在)
当院は日本顕微鏡歯科学会認定医が在籍し、治療にあたります。日本顕微鏡歯科学会認定医制度は3年以上学会に所属し、マイクロスコープの専門的な知識、経験、技術を持った歯科医師に与えられる資格です。マイクロスコープを所有している歯科医院は年々増加傾向にありますが、実際にマイクロスコープを使用して精密な治療を行える専門医レベルの歯科医師は、まだまだ少ないのが現状です。
お悩みに合わせた専門的な根管治療メニュー
大阪市で根管治療と一口に言っても、歯の状態や患者様のお悩みによって、必要な処置は異なります。
当院では「日本顕微鏡歯科学会認定医」が、精密な診査・診断に基づき、最適な治療法をご提案します。
歯髄温存療法
(できる限り神経を残したい方)
むし歯が神経の近くまで達していても、神経を保存できる可能性があります。マイクロスコープとMTAセメントを使用し、できる限り神経を残す治療法です。詳しくは歯髄温存療法のページをご覧ください。
感染根管治療(再根管治療)
「治療したのに痛む」「歯茎が腫れた」といった再発症例に対応する専門治療です。他院で除去が難しいと言われた、難易度の高い治療も行います。
次のような症状・状態が見られるときは、再治療を検討するサインです。
- 治療した歯にズキズキする痛みが続く
- 噛んだときに違和感や強い痛みがある
- 歯ぐきが腫れたり、膿が出てきたりする
- レントゲンで根の先に黒い影(病巣)が確認された
- 被せ物をしている歯でも、違和感やしみる症状がある
これらの症状が見られる場合、根管内で細菌感染が再び起きている可能性が高く、そのまま放置すると炎症が悪化し、抜歯が必要になるリスクも高まります。
早期に感染根管治療(リトリートメント)を行うことで、歯を残せる可能性が広がります。
感染根管治療が必要となる原因
-
感染歯質が残っていた
根管治療の基本は、虫歯に侵された歯質(感染歯質)を完全に除去することです。しかし、細菌は歯質の微細な管の奥深くまで侵入しており、肉眼で感染源を100%取り除くことは極めて困難です。 加えて、神経がない歯は自覚症状に乏しいため、取り残された細菌が静かに増殖を続けます。数年後に初めてトラブルが発覚するケースも少なくありません。
-
仮蓋が不適合だった
根管治療の期間中、歯の内部を細菌から守るのが「仮蓋(かりぶた)」の重要な役割です。ただし、仮蓋はあくまで一時的な材料であり、時間の経過とともに劣化し、歯との間に微細な隙間を生じさせます。その隙間から細菌が侵入すると、消毒した根管が再感染してしまうのです。
-
歯髄(歯の神経)の取り残しがあった
根管治療で症状が再発する原因として、歯の神経である「歯髄(しずい)」の取り残しが挙げられます。歯髄が収まっている管(根管)は、木の根のように複雑に枝分かれしています。特に「側枝(そくし)」や、加齢で石灰化した根管の内部は、従来の器具では完全に清掃することが困難です。手つかずとなった部分には歯髄組織や細菌が残っているため、将来的に痛みや腫れの感染源となります。
-
被せ物が不適合だった
根管治療の成否は、最終的に装着する被せ物や詰め物(補綴物)の適合精度にも大きく左右されます。どんなに精密な根管治療を行っても、補綴物と歯の間に微細な隙間があれば、そこから細菌が時間をかけて侵入し、再び根の先に感染を起こしてしまいます。根管治療を成功に導くためには、精度の高い補綴物が不可欠です。
-
歯の根に穴が開いてしまった
(歯根穿孔)器具操作や歯の構造的問題で、歯根に穿孔という穴が開くことがあります。通常の根管とは別の場所にできたこの穴から、細菌が継続的に侵入します。その結果、持続的な炎症を引き起こしてしまうのです。標準的な治療では対処することができません。特殊な材料と技術が必要となり、発見が遅れるほど治療は複雑化します。
抜髄(神経を取り切る根管治療)
虫歯が神経まで達し、歯髄保存療法(神経を残す治療)が困難と判断された場合に、歯の神経を全て取り除く治療(抜髄)です。この根管治療の処置の制度が歯のを残すことができるのか決定づけるため、ラバーダム・マイクロスコープを100%使用し、感染の徹底除去を行います。
詳しくは抜髄(神経を取り除く治療)のページをご覧ください。
破折リーマー除去
他院での治療で根管内に折れて残った器具(リーマー)を、マイクロスコープを用いて除去する高難易度の治療です。
全ての医院で除去ができるものではなく、肉眼では見つけることすら困難で、特殊な技術が必要なため、対応できる歯科医師は限られています。
患者様に伝えないまま放置されているケース・そもそも折れていることに気づいていないケースが残念ながらよくある現状です。
詳しくは破折リーマー除去のページをご覧ください。
穿孔封鎖(パーフォーレーションリペア)
他院で「根管治療が難しい」「抜歯しかない」と診断された歯も、諦めるのは早いかもしれません。
その原因が、歯に開いた「穴(穿孔)」の場合、当院の精密な「穿孔封鎖(パーフォレーションリペア)」で穴を確実に塞ぎ、大切な歯を保存できる可能性があります。
詳しくは穿孔封鎖(パーフォーレーションリペア)のページをご覧ください。
歯根端切除術
他院で「歯根端切除術(外科処置)が必要」または「抜歯」と診断された方へ。
歯根端切除術は、歯を残すための外科的な選択肢です。当院では、外科処置の前に、まず「精密根管治療」によって歯の内部の感染という根本原因を取り除くことを最優先にしています。精密な根管治療によって、手術を回避し歯を保存できる可能性がまだあります。
詳しくは歯根端切除術のページをご覧ください。
意図的再植
特に奥歯などで、通常の根管治療や外科処置(歯根端切除術)も困難な「手の施しようがない」と言われた歯でも、保存できる可能性があります。
「意図的再植」は、一度歯を抜き、お口の外で精密に処置(感染源の除去・封鎖)を行ってから元に戻す、歯を残すための“最後の手段”です。
詳しくは意図的再植のページをご覧ください。
根管治療におけるセカンドオピニオン
「抜歯しかない」と言われた方へ。諦める前に、ぜひ一度ご相談ください。
歯の神経の治療である「根管治療」は、非常に専門性が高く、歯科医師によって診断が分かれることがあります。肉眼では見えない複雑な根管を治療するには、特別な技術と経験が必要です。
「本当に抜くしかないのだろうか?」
「他に治療法はないのだろうか?」
その疑問に、セカンドオピニオンという形で私たちがお応えします。第三者の視点から、あなたの歯を残すためのあらゆる可能性を再検討いたします。
当院は、根管治療の難症例にも数多く対応しております。
治療実績も公開しておりますので、ぜひご覧ください。あなたの大切な歯を守るため、私たちが力になります。
どんな時にセカンドオピニオンを検討すべきか
- 治療前に、提示された治療法に納得できない
- 治療後も痛みや腫れが続き、症状が改善しない
- 他院で「抜歯が必要」と言われた
- 詳しい説明がなく、治療を始められて疑問がある
- 治療が長引き、いつ終わるのか不安
この様な場合、セカンドオピニオンを受けることで、
新たな解決策が見つかる可能性があります。
根管治療でセカンドオピニオンを受けるメリット
歯を残せる可能性が広がる

「抜歯しかない」という診断は、絶対的なものではないかもしれません。例えば、根管治療を専門とする歯科医師や、精密な診断を可能にする「マイクロスコープ(歯科用顕微鏡)」や「歯科用CT」といった高度な設備を持つ医院では、これまで見えなかった問題の原因を発見し、治療できる場合があります。セカンドオピニオンは、あなたの歯を残すための新たな可能性を探すチャンスです。
納得して治療法を選択できる

一人の医師の意見だけでは、「本当にこの治療法がベストなのだろうか?」という迷いや不安が残ることも。複数の専門家から客観的な情報を得ることで、それぞれの治療法のメリット・デメリットを深く理解できます。これにより、他人に任せるのではなく「自分で選んだ」という納得感が生まれ、安心して治療のスタートラインに立つことができます。
より専門性の高い歯科医師・治療に出会える

根管治療は、歯科医師の技術や経験が治療の成功率を大きく左右する繊細な治療です。
セカンドオピニオンを受ける過程で、根管治療を得意とするドクターや、より専門性の高い医院に出会える可能性があります。それは、単に歯を残すだけでなく、再発リスクを抑え、歯をより長く保つための大切な選択となります。
当院でご相談の多い内容
- 抜歯するしかないと言われた
- 大きな虫歯があるが神経は残したい
- 治療後に痛みがある
- 治療が長引いている
当院では、他院で抜歯と診断された歯でも、マイクロスコープなどの精密機器を用いた正確な診断と精密根管治療により、可能な限り歯や神経を残す治療を行っています。治療が長引いている方や再治療を繰り返しているケースにも多く対応しており、自由診療だからこそ十分な時間を確保しながら、通院回数を抑えた効率的な治療をご提供しています。
予約から治療終了までの流れ
-
01予約
まずは、お電話もしくはWEB予約にてご予約をお願い致します。
※ 当院は完全予約制です。事前のご予約をお願いします。 -
02来院(時間:約90分)
カウンセリング(30分)
根管治療に関しての問診と説明を一通り行います。
歯周病基本検査&治療(60分)
歯周病がある場合は、根管治療にはいる前に歯周病治療を先に行う必要がございます。
※歯周病治療が必要な場合は、先に歯周病治療を行います。(約1ヶ月~)
※症状によって歯周病の治療期間は変わってきます。 -
03根管治療:1回目(時間:約120分)
- 不良補綴物の除去
- 感染物質の除去
- APF(歯冠長延長術)※必要な場合のみ
- 隔壁の作成
- 仮歯を装着
- CT撮影
PICKUP1 ほぼ残っていない歯を抜歯から守る「APF(歯冠長延長術)」

深いむし歯により、歯を大きく削った事で、歯茎の下に歯が埋もれた状態になると、根の治療が困難であり、抜歯と診断されるケースがあります。そんな抜歯をしなくてはいけない歯を残す為の方法の一つとして「APF(歯冠長延長術)」というものがあります。この「APF(歯冠長延長術)」は、歯肉を切開し、歯を支える歯槽骨を削ることで、治療が必要な箇所を露出させる手術です。この手術を行うことで根管治療を行うことが可能になり、歯を保存できる可能性が高まります。
PICKUP2 ラバーダムを装着する為の「隔壁」について

隔壁とは、ゴム製のラバーダムと歯を固定する為のクランプが掛けられないほど、(削られて)小さくなった歯に対して、行う処置です。
歯の高さが2mm以下の部分が一箇所でも存在する歯、幅が1mm以下の部分が一箇所でも存在する歯は、このクランプを掛ける事ができません。その場合、レジンで隔壁を作ることでクランプを掛けられる状態に補強します。根管治療を行うほどの歯は、深い虫歯がほとんどなので、この隔壁を作るケースが多いです。 -
04根管治療:2回目(時間:約120分)

ラバーダムを装着し、マイクロスコープで確認しながら根管内部の細菌を丁寧に除去していきます。
最後に再び仮歯を装着して、この日は終了です。
経過を観察する為、1週間前後あけ次回のご予約をして頂きます。経過観察後、治療した部位に炎症や膿がないことを確認します。
その後、根っこの先まですき間が入らないように、お薬を詰めていきます(根管充填)。
ここまでで、根管治療の工程は終了になり、被せ物の治療が可能と判断できたら、被せ物の治療に進みます。
いつまでも
自分の歯を残すために
根管治療を終えたら、土台を立てて被せ物を入れる治療が始まります。自分の歯を長く残すためには、精度の高い被せ物と定期的なメインテナンスが必要です。
高精度の補綴物
たとえ根管治療で精密な治療を行っても隙間があるような土台や被せ物を入れてしまうと、再感染を起こしたり、残っている歯の根っこが割れてしまったりなどトラブルにつながります。被せ物は形成、印象、咬合採得の工程を踏んで、歯科技工士が模型上で作製します。この工程は歯科医師と歯科技工士の技術に大きく左右され、被せ物の精度が大きく変わってしまうのです。当院では高精度の被せ物を作製するために、一つひとつの工程にこだわり、歯科技工士と連携しながら歯と被せ物の適合性を高めています。
歯を守るメインテナンス
被せ物を入れたら「通院しなくてよい」ということではありません。健康な歯を維持するには、病気を発症させない口内環境づくりが大切です。歯科医院でのメインテナンスは、単にお口の中をキレイにするのではなく、患者様のお口の中の状態に合わせたプロフェッショナルケアやブラッシング方法を提供します。
根管治療とは?

根管治療を大阪市・天王寺周辺でご検討中の患者様へ。
むし歯菌が神経まで達してしまっているような重度のむし歯の場合、根管治療を行います。
根管治療とはむし歯に冒された神経や歯質を取り除き、根管をきれいにしてから被せ物をする治療です。
ただ、この神経を取る治療は、難易度が高く、また非常に手間がかかる治療であり、東京医科歯科大学の発表で「日本の根管治療の成功率が30~50%」というデータがあり、約半数以上が再治療が必要になるといわれております。
上記のグラフは、東京医科歯科大学むし歯外来で調査した根管治療における根尖部X線透過像の発現率です。(根管治療の失敗率を表してます)
歯の神経を治療した患者様が、東京医科歯科大学むし歯外来に来院し、その時に根の先に病気が見つかった発現率(根管治療を失敗した)割合を表しています。
こんなお悩みありませんか?
当院にご来院いただく方で下記のお悩みの方が多数いらっしゃいます。
再治療がなぜ
必要になってしまうのか?

結論から言うと根管治療後に再発や不調が起こる主な原因は、根の中をキレイにできなかった(感染物質を残してしまった)事であります。
例えば、汚染された海をキレイにしようとした時に、いくら海を頑張ってきれいにしても流れてくる川が汚いといつまでも海はきれいにならないです。
これが根管治療にも言えることで、
根っこ(=海に流れる川)の感染物質を取り除かない限り、根管治療が再び必要になる可能性が極めて高いです。
ただ、この根をキレイにする根管治療は、決して簡単な作業ではなく、時間・技術・そしてそれを行う為の器具・機材が必要になり、非常に大きな労力が必要になる処置であると言えます。前述した通り、日本の根管治療の成功率が30~50%に対して、アメリカでの根管治療の成功率は90~95%と言われています。
日本と世界の根管治療の違い

残念ながら、日本で行われている根管治療の成功率は、30〜50%と言われています。一方、アメリカの根管治療の成功率は90%以上と言われており大きな差があります。 歯の神経を取る際、洗浄や消毒が不十分であったり、密封しきれていなかったりすると数か月〜数年後に痛みや違和感が出ることがあります。
このような場合、再根管治療で歯の内部の細菌数を減らす治療を行います。しかし、なぜ一度根管治療を行なったのにもかかわらず、再根管治療が必要になることが多いのでしょうか。これには、さまざまな要因が挙げられますが、中でも国民皆保険制度が大きく関係していると考えられます。
国民皆保険制度は保険証があればどこでも一定基準の医療が安く受けられる素晴らしい制度です。しかし、歯科における国民皆保険制度では、「安い診療報酬」で「限られた範囲での治療」が行われています。
例えば、根管治療の診療報酬は奥歯1本約9,000円で、3割負担の人であれば約2,700円、1割負担の人であれば約900円で済みます。一方、諸外国の根管治療の費用をみると、アメリカは約10万~15万円、イギリスでは約10万円、物価が安いと言われているフィリピンでさえ7万円ほどかかるのです。なぜ、諸外国では根管治療の治療費が高いのでしょうか。根管治療は歯科治療の中でも難しいとされ、時間と手間がかかること、そして根管治療によって歯の寿命を決定付けるために責任が重いこと、材料や薬剤にコストがかかるためです。
日本の保険制度内で行う治療は、治療方法や使用できる材料、時間に一定のルールが設けられており、それ以上の治療を行うことができません。限られた範囲での治療になるため、症状によっては十分な治療を受けられない場合も多いのです。
保険の根管治療と
自費の精密根管治療の違い

根管治療は、保険のルールに従って行う保険診療と、使用する薬剤や時間に制限がない自費診療に分けられます。
根管治療における保険診療と自費診療の大きな違いは、設備や使用する薬剤、治療にかけられる時間です。例えば、歯科用CT・マイクロスコープ・ラバーダムの使用は、根管治療の成功率を上げるために欠かせないものですが、保険診療ではこれらの機材を使用することはほとんどありません。
歯科用CTは、平面のレントゲン写真と違って歯の内部まで立体的に撮影でき、歯の根っこの長さ、太さ、奥行き、病巣の大きさなどを正確に把握することができます。マイクロスコープは、歯科用の拡大顕微鏡です。肉眼では見えない暗くて狭い歯の内部を明るく照らしながら拡大して見ることができます。ラバーダムは、唾液や細菌が侵入しないために装着するゴム製のシートです。治療する歯だけ露出させて唾液や細菌が根管内に入るのを防ぎます。ラバーダムを使用することで根管治療の成功率は約90%まで高まると言われています。
保険診療は安く済ませられますが、CTやマイクロスコープ、ラバーダムを使い時間をかけて丁寧に行う自費の根管治療は精度が高く、予後は圧倒的に優れているのです。
根管治療の費用
- 1回の診療時間・・・約120分
- 治療回数・・・2回~3回
-
診断費用(60分、CT撮影費用を含む)¥16,500(税込)
-
抜髄 前歯・小臼歯¥110,000(税込)
-
抜髄 大臼歯¥121,000(税込)
※CT・マイクロスコープを用いて治療します。
-
感染根管処置 前歯・小臼歯¥143,000(税込)
-
感染根管処置 大臼歯¥154,000(税込)
※CT・マイクロスコープを用いて治療します。
-
リトリートメント
(過去に治療した歯の再治療)¥44,000(税込)
-
MTAセメント¥44,000(税込)
-
再植術1回 ¥165,000(税込)
保存不能な歯を一度抜歯して口腔外で修復してから再度戻す方法です。
-
歯根端切除術1回 ¥55,000(税込)
歯の根の先に集中している患部を切断する方法です。
-
破折リーマー除去¥55,000(税込)
-
パーフォレーションリペア¥66,000(税込)(一箇所)
※MTAの量により増額あり -
歯髄温存療法¥66,000(税込)
根管治療に関する
よくあるご質問
-
Q.
精密根管治療は保険適用になりますか?
-
A.
申し訳ありません。マイクロスコープ等を使用した精密根管治療は高度な医療技術、時間の確保が必要になるため、保険適用されない自費診療のみとなります。
-
Q.
保険診療と比較すると、治療費が高いのはなぜですか?
-
A.
精密根管治療は、1回の治療で約60~90分の治療時間を確保する必要があります。加えて、マイクロスコープを使用し精密な治療を行うためには、無菌状態で行う必要があります。材料や器具にコストがかかり、結果的に費用が高額になってしまうのです。
-
Q.
精密根管治療は何回通院する必要がありますか?
-
A.
症例や難易度にもよりますが、通常は2回〜3回の通院で完了します。当院では1回の治療時間を60分〜90分と十分に確保し、マイクロスコープを用いて集中的に治療を行うため、一般的な保険診療(数ヶ月かかる場合もある)と比較して、通院回数と期間を大幅に短縮することが可能です。遠方(大阪市外や府外)からお越しの患者様のために、集中治療もご相談いただけます。
-
Q.
痛みが再発するたびに、根管治療を行なっています。しかし、一向に良くなりません。
-
A.
保険診療で行う根管治療の成功率は、約30~50%と低く、再治療を繰り返すケースも多くあります。また、2回目以降の根管治療の成功率は、1回目よりもさらに下がると言われています。自費診療で行う精密根管治療は、成功率が高い治療法です。根管治療を繰り返し行なっている、根管治療をしたのにもかかわらず痛みが続くなどがあれば、まずは当院までご相談ください。
当院の根管治療の
症例
銀歯・詰め物をした歯に痛みがあり来院
-

術前

術後
年代/性別 40代/女性 主訴 他院で一年半前に治療した歯(銀歯を入れた歯)が痛い 治療方法 感染根管処置 費用 診断費用:¥16,500
感染根管治療:¥154,000
リトリートメント:¥44,000
ファイバーコア:¥38,500
オールセラミックスクラウン:¥187,000備考(デメリット) 経過観察が必要
歯科医師に高い技術が求められる
右下の奥から2番目の歯が痛いという主訴で来院されました。過去に虫歯治療をしており、詰め物(銀歯)が入っている歯でした。
-

CTを撮影し確認してみると、近心に根尖病変があり、歯髄の生活反応も無かったので、感染根管処置が必要という診断になりました。
治療の流れとしては、 ①感染根管治療 ②仮歯を入れて6ヶ月経過観察 ③最終の被せ物の装着 といった感じになります。
感染根管治療をした後は、必ず仮歯を入れて6ヶ月経過観察を行います。 -

6ヶ月の経過観察が終了し、最終の被せ物を入れました。
仮歯(プロビジョナルレストレーション)は最終の被せ物を入れる前に必要な準備段階であり、噛み合わせや、頬や舌を噛みやすい形態になっていないかの確認・骨の再生の経過観察など多くの目的があります。仮歯は削ったり盛り足したりして調整可能ですが、最終の被せ物はセラミックスで出来ている為、大きな修正ができません。
約6ヶ月の経過観察を通じて適合を整えてから最終の被せ物を作ることが、後々のトラブル防止につながります。 -

根尖病変が無くなり、透過像が消失しているのが確認出来ます。
当院では、歯肉や歯槽骨の状態、被せ物の形態を完璧に整えてから最終の被せ物を装着するため、治療後も問題が起きにくく、長く快適にご使用いただけます。
他院での根管治療でリーマーが折れてしまった症例
-

術前

術後
年代/性別 60代/男性 主訴 奥歯を抜歯と診断されて保存希望で来院 治療方法 感染根管処置 費用 診断費用:¥16,500
感染根管処置:¥154,000
リトリートメント:¥44,000
破折リーマー除去:¥55,000
MTAセメント:¥44,000
ファイバーコア:¥38,500
オールセラミックス:¥187,000備考 メリット:歯を残す事ができる
デメリット:歯科医師に高い技術が求められる
初診時の口腔内写真です。他院での根管治療の際にリーマーが折れ、歯の中に残ってしまっている症例です。
リーマーとは根管治療の時に使う器具のことです。
リーマーは治療中に折れてしまうことがあり、折れたことに気付かないまま、あるいは説明をせずに治療を終えてしまう歯科医院もあります。
その為、後から折れた器具が歯の中から見つかり、残念ながら患者様に説明がなされていないケースも見受けられます。 -

レントゲン写真をご覧ください。この直線的に写っている怪しい影が破折リーマーです。
-

根管内をあけてみると、なんと、約10ミリ近いリーマーが歯の中に残っていました。
-
マイクロスコープで録画をした治療の様子です。
当院では、治療の様子を録画し、そのままの映像を治療直後にご覧いただく等、常に誠実で高度な治療をご提供しております。
万が一、当院での治療中にリーマーが折れてしまった場合は必ず除去し、患者様にご報告をしております。 -

当院では、治療前に必ずデンタルX線写真やCT撮影を行い、破折リーマーが歯の中に残っていないかを確認します。以前の治療で破折リーマーが残っていた場合はしっかりと除去し、治療を行います。
破折リーマーの除去はとても難しく、高い技術が必要です。過去に治療をした歯が痛む方や、現在治療中の方のセカンドオピニオンもお気軽にご相談下さい。
詰め物の下の歯茎に出来物ができた患者様の症例
-

術前

術後
年代/性別 40代/男性 主訴 過去に入れた詰め物の下の歯茎に出来物ができた 治療方法 感染根管処置 費用 診断費用:¥16,500
感染根管処置:¥154,000
リトリートメント:¥44,000
ファイバーコア:¥38,500
オールセラミックス:¥187,000備考 メリット:歯を残す事ができる
デメリット:歯科医師に高い技術が求められる
部位は右下の5番目です。

根っこの先の骨が溶けて黒くなっているのが確認できます。
-

こちらが膿が溜まった後出口として、歯茎の表面に出来物(フィステル)ができた様子です。
この歯は神経が残っている歯でしたが、残念ながら失活(神経が死んでしまうこと)してしまっていました。その為、歯の根っこの中を消毒する処置を行います。 -
歯の根っこの消毒〜土台を立てる様子の動画です。
動画は治療の一部となりますが、治療中は10回以上、洗浄を行っています。 -

根管治療を行った後、骨が回復するまで6ヶ月ほど経過観察を行います。こちらは治療後6ヶ月のレントゲンとCTの写真です。
-

まだ少し黒い影はあるものの、薄く骨のようなものがモヤっとできており、溶けていた根っこの先の骨が大きく回復傾向にあるのがわかります。
-

大きく腫れてしまっていた歯茎も根っこの膿の消失とともに治癒しました。
この方は痛みなどの症状は特になかったそうですが、神経が死んでしまう予兆として激しい痛みが伴うことがあります。その後痛みがなくなった場合、既に神経が死んでしまった可能性もあります。
歯に痛みがでた際は神経が助かる最後のSOSの可能性がある為、早めに受診されることをおすすめします。
他院で抜歯と言われた歯を保存する治療
-

術前

術後
年代/性別 40代/女性 主訴 左上臼歯の歯肉が腫れ、他院で抜歯と言われた 治療方法 感染根管処置
歯冠長延長術費用 診断費用:¥16,500
感染根管処置 大臼歯:¥154,000
感染根管処置 小臼歯:¥143,000
リトリートメント:¥44,000
ファイバーコア:¥38,500
オールセラミックス:¥187,000
歯冠長延長術:¥55,000備考 メリット:歯を残す事ができる
デメリット:歯科医師に高い技術が求められる
左上臼歯の歯肉が腫れ、他院では抜歯と言われた症例です。左上7番はデンタルX線画像で垂直性の骨吸収が見られます。歯が破折している場合はインプラントの計画で治療介入をしましたが、幸い破折はしていなかった為、感染根管治療を行いました。
-

左上5、6、7番は全て神経が無い歯でしたが、当院では根管内洗浄から歯の土台を立ててオールセラミックスを入れるまで、全工程をしっかり丁寧に再治療します。
-

こちらは治療前と治療後のCT写真です。根尖病変の透過像が無くなっており、無事根尖まで綺麗に感染除去できたことがわかります。
-

被せ物の治療を行う際には、歯茎から高さ約2mm以上の健康な歯の根元(残存歯質)が残っているかを確認します。この部分がしっかり残っていることで、噛む力による歯根破折を防ぐことができます。
今回は十分な歯質が歯茎の外に出ていなかったため、歯冠長延長術という処置を行い、歯茎を整えて歯の見える部分を増やしました。➀歯肉を下げる前の状態
➁術後に縫合した状態 -

➂術後に縫合し、パックで保護している状態
➃術後1週間の状態歯肉を下げたことで仮歯と歯肉の間に隙間が生じるため、仮歯を修正し、審美性も回復しました。
-

術後1ヶ月後に新しく仮歯を作り治し、6ヵ月経過観察を行います(写真は仮歯で経過観察中の様子)。歯肉の炎症が無くなった為、痛みも改善されました。歯肉の炎症が無くなったことで、ホームケアの状態も良くなったと報告をもらっています。
神経の取り残しで前歯が黒ずんでしまった患者様の症例
-

術前

術後
年代/性別 20代/女性 主訴 歯の着色が気になる 治療方法 感染根管処置 費用 診断費用:¥16,500
感染根管処置(前小臼歯):¥143,000
リトリートメント:¥44,000
ファイバーコア:¥38,500
オールセラミックス:¥187,000備考 メリット:歯を残す事ができる
デメリット:歯科医師に高い技術が求められる
「歯の色味が気になる」と来院された患者様の症例です。今回の部位は左上1番です。隣の歯と比べるとトーンが暗いように見えます。
-

デンタル写真・CT写真です。
根っこの先に膿が溜まっているのがわかります。現在は症状などはないとのことですが、根管治療のやり直しが必要となります。 -
マイクロスコープで録画をした治療の様子です。
歯の色が暗くなってしまった原因は神経を除去したためです。これは仕方がありませんが、最終の補綴を被せ物にすることで、色のトーンを合わせることが可能です。
通常根管治療は何回かに分けて行うことが多いですが、動画でご覧いただいたように当院は前歯の根管治療であれば1日で終わらせることができます。
こちらの患者様は前回の治療も1日で終わったそうですが、神経の取り残しがあったり、治療の質が落ちてしまっては意味がありません。 -

今回の根尖病変の原因は神経の取り残しにありました。今回取り残しがあった箇所は動画でも示したように「髄角(ずいかく)」とよばれる場所で神経の一番端のところです。
髄角とは、歯の内部にある神経や血管で満たされた組織「歯髄」の一部で、特に歯の咬み合う面(咬合面)に近い、細く尖った部分を指します。 -

解剖学的に表側、裏側、共に丸みを帯びるように神経が通っているのですが、他院では歯の裏側に小さく穴を開けて治療が行われていたため、周りの神経が取り切れなかったと考えられます。
-

治療後のデンタル写真です。
今回は根尖の先が破壊されてしまっていたので、MTAセメントを使って根管充填しました。中途半端に入ってしまっていた薬もきっちり除去し、隙間なく充填されているのがわかります。 -

仮歯をつけた状態の写真です。
神経を失った歯は、色のトーンが落ちるのは仕方の無いことですので、それをきちんと説明するか、それも考慮した補綴を作成するのが理想的です。
前歯の根管治療で歯の一部だけを削って行った、あるいは歯のトーンが1本だけ暗い、などがある場合、神経の取り残しがある可能性があります。
少しでも気になった方は、ぜひ一度お問い合わせ下さい。
他院で治療を繰り返していた患者様の症例
-

術前

術後
年代/性別 30代/女性 主訴 再発しない治療を受けたい 治療方法 感染根管処置 費用 診断費用:¥16,500
感染根管処置:¥154,000
リトリートメント:¥44,000
ファイバーコア:¥38,500
オールセラミックス:¥187,000
オールセラミックスインレー:¥99,000×3備考 メリット:歯を残す事ができる
デメリット:歯科医師に高い技術が求められる
他院で治療を繰り返しており “再発しない、よりよい治療を受けたい❞と来院された患者様の症例です。
-

右上の1番奥の歯に注目して下さい。
銀歯が入っているだけかと思えば、レントゲンで見てみると根の先に黒い影(根尖病変)があるのが分かります。
根尖病変があるということは根管内に感染があり、それが原因で炎症が起きているということになります。 -

CTで見てみると、よりハッキリと分かります。
-
マイクロスコープで録画をした治療の様子です。
ラバーダム防湿で唾液をブロックしながら根管治療をスタートします。被せ物と感染を取り切り隔壁というレジンの壁をつくります。 -

この後は根管充填と築造(歯の土台を立てること)を行い、仮歯で半年経過観察を行いました。
経過観察の期間を終了し、CTを撮影すると根尖病変がなくなっているのがわかります。 -

経過観察中に、前の歯3本の詰め物もくずれて感染が起きていた為、虫歯治療を行い、部分的なセラミックスを詰めました。
根管治療をした1番奥の歯は、まだ仮歯の為、これからセラミックスに変える予定です。
根管治療後、痛みなどの症状はなく、問題なく食事ができていると報告をもらっています。
数年前に虫歯治療をした歯の歯茎が腫れたという患者様の症例
-

術前

術後
年代/性別 10代/男性 主訴 数年前に虫歯治療した歯の歯茎が腫れた 治療方法 感染根管処置 費用 診断費用:¥16,500
感染根管処置:¥154,000
リトリートメント:¥44,000
ファイバーコア:¥38,500
オールセラミックス:¥187,000備考 メリット:将来的に歯を保存出来る
デメリット:歯科医師に高い技術が求められる
数年前に虫歯治療した歯の歯茎が腫れてきたと、セカンドオピニオンで来院されました。
左上の奥から2番目の歯茎が腫れています。 -

レントゲンを確認してみましょう。
根の先に大きな病変ができていました。神経が死んでしまっているので、根管治療が必要になります。初診の際は診断のみになるので、後日クリーニングを行ってお口の環境を整えてから、治療を開始しました -
マイクロスコープで録画をした治療の様子です。
いつも通りラバーダム防湿を装着し、根管治療を行いました。根管内を洗浄しています。 -

当院での根管治療は2回で終了し、3回目には仮歯を装着します。腫れていた歯茎ですが、2回目の治療で来院したときには消えていました。
-

仮歯の状態で半年経過を見ていきます。経過観察中はお食事の制限も特になく、普通に過ごしていただけます。
そして半年後に病変の回復を確認できてから、最終のセラミックスの被せ物を装着するという治療の流れです。
他院で「抜歯」と診断された歯も、当院なら残せる可能性があります。当院は、難易度の高い神経の治療(根管治療)や、一度治療した歯の「再治療」を専門としています。
「この歯、残せる?」「今の治療が不安」 手遅れになる前に、まずはお気軽にご相談ください。 ご予約をお待ちしております。




