06-6627-8777
月曜~土曜9:30-13:00 / 14:30-18:30
休診:木曜・日曜・祝日
WEB予約
矯正歯科専門サイト
根管治療専門サイト
小児矯正
インビザライン
医院紹介
初めての方へ
医院理念
院内ツアー・設備紹介
医院概要・アクセス
よくある質問
患者様のご紹介について
松川デンタルオフィス更新情報
求人情報
症例紹介
ドクター・スタッフ紹介
選ばれる理由
根管治療
根管治療
セカンドオピニオン
歯髄温存療法
抜髄
破折リーマー除去
穿孔封鎖(パーフォーレーションリペア)
歯根端切除術
意図的再植
診療メニュー
矯正歯科専門サイト
小児矯正インビザライン
むし歯治療
歯周病治療
入れ歯治療
小児歯科
インプラント・ブリッジ
審美治療
ホワイトニング
予防処置
料金案内
医院紹介
初めての方へ
医院理念
院内ツアー・設備紹介
医院概要・アクセス
よくある質問
患者様のご紹介について
松川デンタルオフィス更新情報
求人情報
症例紹介
ドクター・スタッフ紹介
選ばれる理由
根管治療
根管治療
セカンドオピニオン
歯髄温存療法
抜髄
破折リーマー除去
穿孔封鎖(パーフォーレーションリペア)
歯根端切除術
意図的再植
診療メニュー
矯正歯科専門サイト
小児矯正インビザライン
むし歯治療
歯周病治療
入れ歯治療
小児歯科
インプラント・ブリッジ
審美治療
ホワイトニング
予防処置
料金案内
WEB診療予約
CASE
症例紹介
HOME
根管治療
ホワイトニング
カテゴリー
以下クリックで各カテゴリーの症例がご覧いただけます。
歯髄温存療法
マイクロスコープ診療
根管治療/再根管治療
矯正歯科
虫歯治療
歯周病
審美歯科
ホワイトニング
インプラント
外科治療
歯のクリーニング
ホワイトニング
2018.05.22
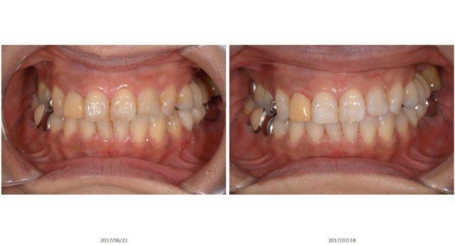
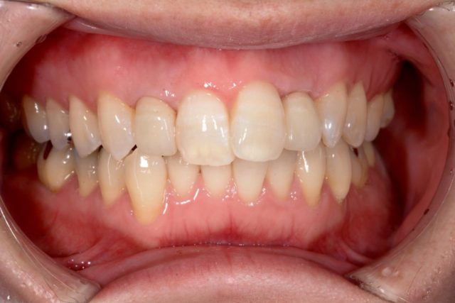
ホワイトニング
ホワイトニングについて
詳しく見る
2018.02.27
ホワイトニング
ホワイトニングについて
詳しく見る
2017.11.14
ホワイトニング
ホワイトニングについて
詳しく見る
2017.09.20
ホワイトニング
オールセラミックについて
詳しく見る
2017.07.26
ホワイトニング
ホワイト二ングについて
詳しく見る
最初へ
<
1
2
3
4
>
最後へ