カテゴリー
以下クリックで各カテゴリーの症例がご覧いただけます。
矯正治療は審美目的だけではない?!
天王寺駅から徒歩1分・マイクロスコープを用いて治療をしている大阪市阿倍野区の歯医者『松川デンタルオフィス』の金丸です。
今日は矯正治療の症例をご紹介いたします!
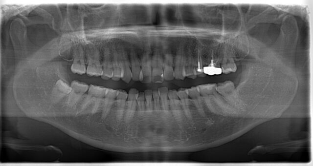
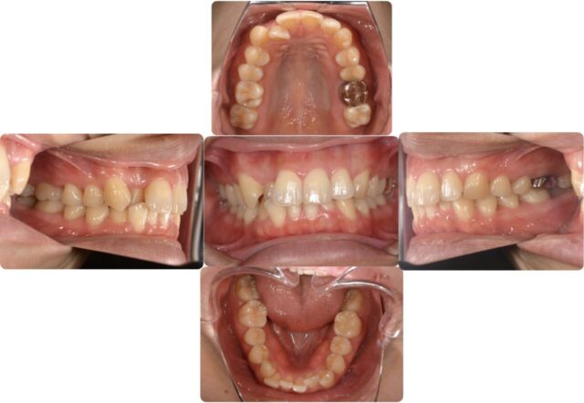
まずは初診時のパノラマと5枚法をご覧下さい!


右上の2番目だけ大きく内側に入ってしまっています。また、下の前歯も少しがたつきがあります。
この歯並びでは審美的な問題に加えてもうひとつ問題があります。
それはアンテリアガイダンスがないことです
アンテリアガイダンスとは、、
天然歯の正常な噛み合わせの場合、食事や歯ぎしりのような顎を運動させた時に、左右の犬歯から犬歯までの6前歯が、歯に負担がかからないように顎の動き方を制限してくれます。
下顎を前方に動かす時は4前歯のみが、左右に動かす時は犬歯のみ接触する状態になっている事が重要です。
特に左右に動かす際の犬歯の役割は犬歯ガイド(Canine guidance)とも呼び最も重要です。それは、犬歯の歯根は非常に長くまわりの骨密度も高いので左右の横揺れに強いからです。顎を動かした時、前歯しか接触せず上下の奥歯は離れている状態になる事がとても大切です。
ではそれを踏まえた上でこの方の下からのかみ合わせを見てみましょう。

右側の歯のガイドが少ないですね、ということは左の奥歯に負担がかかるかみ合わせになってしまっています。
パノラマ写真を見ると、左上の5、6番目の歯だけ既に神経を失ってしまっています。
レントゲン写真もご覧下さい

根管治療がされているようですが、きちんと根の先まで薬が入っておらず神経の取り残しが見受けられます
しかしこの時には根尖病変は見受けられなかったため、先に上のかぶせ物を矯正用の仮歯に置き換えて矯正をスタートさせます



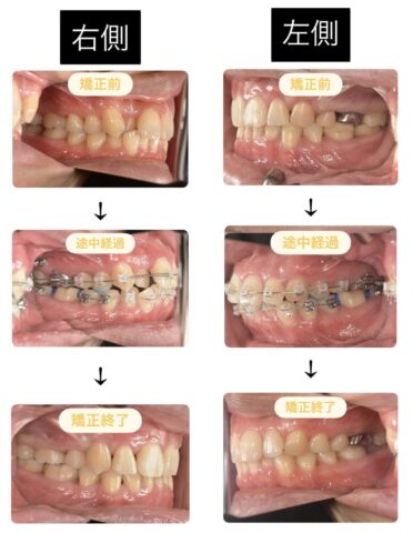
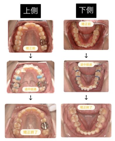
しっかりとアンテリアガイダンスを獲得できましたね!これで左側にかかっていた負荷を取り除けたので、残りの感染根管治療を行っていきます!

治療後は仮歯を入れて経過観察を行います!
その後、最終形のオールセラミックスを入れるための型どりをしました!

この方はこの2本の歯だけ神経を失ってしまいました。磨き方が悪くて虫歯になり神経を失ったのではありません。神経を失うほどの負担がかかっていたのです。矯正治療をせずに放置していたら神経を失うのはこの2本ではすまなかったでしょう、、
一見そこまでガタツキのないような歯並びに見えても、神経を失った歯があるという方はかみ合わせのバランスに問題がある可能性があります。
少しでも気になった方は1度お問い合わせください!
この治療の担当者

松川 裕樹Dr.Hiroki Matsukawa
日本有数の日本顕微鏡歯科学会の認定医です。精密な治療を行うために全チェアーにマイクロスコープを導入しているだけでなく、日々歯科医療に関して研鑽を積んでおります。 実際にマイクロスコープを使用して精密な治療を行える歯科医師はまだ少ないのが現状ですが、当院では専門的な知識、経験、技術を持った医師が治療を担当致します。

沖田直也Dr.Naoya Okita
日本有数の日本矯正歯科学会の認定医です。松川デンタルオフィスでは、歯を動かすことに徹するプロフェッショナルと、理事長のような総合診療のプロフェッショナルが在籍しているため、見た目のみならず、機能面も重視した総合的な歯科医療を提供することができます。
所属学会
症例データ
| 年代/性別 | 30代/女性 |
|---|---|
| 症状 | 矯正治療をしたい |
| 治療方法 | ラビアル矯正 |
| 治療期間 | 4年 |
| 費用 | 診断料:¥16,500- 感染根管処置(前小臼歯) ¥143,000- 感染根管処置(大臼歯)¥154,000- リトリートメント ¥44,000-×2 ファイバーコア ¥38,500-×2 オールセラミックス ¥187,000-×2 治療用セラミックス¥55,000-×2 ラビアル矯正:¥880,000- 便宜抜歯:¥11,000-×4 インプラントアンカー:¥22,000-×3 保定装置:¥55,000- |
| 備考 | メリット:歯を残すことが出来る デメリット:歯科医・矯正医共に高い技術が求められる |


